Cookie preferences
This website uses cookies, which are necessary for the technical operation of the website and are always set. Other cookies, which increase the comfort when using this website, are used for direct advertising or to facilitate interaction with other websites and social networks, are only set with your consent.
Configuration
Technically required
These cookies are necessary for the basic functions of the shop.
"Allow all cookies" cookie
"Decline all cookies" cookie
CSRF token
Cookie preferences
Currency change
Customer-specific caching
FACT-Finder tracking
Individual prices
Selected shop
Session
Comfort functions
These cookies are used to make the shopping experience even more appealing, for example for the recognition of the visitor.
Note
Show the facebook fanpage in the right blod sidebar
Statistics & Tracking
Affiliate program
Conversion and usertracking via Google Tag Manager
Track device being used
| Item number | Size | Datasheet | Manual | SDS | Delivery time | Quantity | Price |
|---|---|---|---|---|---|---|---|
| E-AN301936L.50 | 50 µl | - |
7 - 16 business days* |
304.00€
|
|||
| E-AN301936L.100 | 100 µl | - |
7 - 16 business days* |
464.00€
|
If you have any questions, please use our Contact Form.
You can also order by e-mail: info@biomol.com
Larger quantity required? Request bulk
You can also order by e-mail: info@biomol.com
Larger quantity required? Request bulk
CD47 has a role in both cell adhesion by acting as an adhesion receptor for THBS1 on platelets,... more
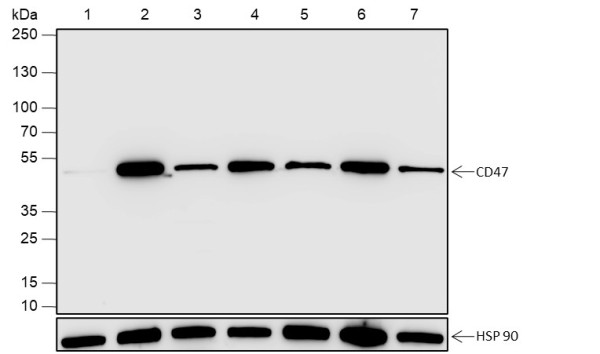
Product information "Anti-Recombinant CD47, clone A652"
CD47 has a role in both cell adhesion by acting as an adhesion receptor for THBS1 on platelets, and in the modulation of integrins. CD47 plays an important role in memory formation and synaptic plasticity in the hippocampus. CD47 is a receptor for SIRPA, binding to which prevents maturation of immature dendritic cells and inhibits cytokine production by mature dendritic cells. CD47 interacts with SIRPG mediates cell-cell adhesion, enhances superantigen-dependent T-cell-mediated proliferation and costimulates T-cell activation. CD47 may play a role in membrane transport and/or integrin dependent signal transduction. CD47 may prevent premature elimination of red blood cells. CD47 may be involved in membrane permeability changes induced following virus infection.
| Keywords: | Anti-CD47, Anti-Protein MER6, Anti-Integrin-associated protein, Anti-Leukocyte surface antigen CD47, Anti-Antigenic surface determinant protein OA3, Recombinant CD47 Monoclonal Antibody |
| Supplier: | Elabscience |
| Supplier-Nr: | E-AN301936L |
Properties
| Application: | WB |
| Antibody Type: | Monoclonal |
| Clone: | A652 |
| Conjugate: | No |
| Host: | Rabbit |
| Species reactivity: | human |
| Immunogen: | Recombinant human CD47 fragment |
| MW: | 47-52 kD |
Database Information
| KEGG ID : | K06266 | Matching products |
| UniProt ID : | Q08722 | Matching products |
| Gene ID : | GeneID 961 | Matching products |
Handling & Safety
| Storage: | -20°C |
| Shipping: | -20°C (International: -20°C) |
| Signal Word: | Warning |
| GHS Hazard Pictograms: |
|
| H Phrases: | H317 |
| P Phrases: | P261, P272, P280, P302+352, P333+313 |
Caution
Our products are for laboratory research use only: Not for administration to humans!
Our products are for laboratory research use only: Not for administration to humans!
Information about the product reference will follow.
more
You will get a certificate here
Viewed