Anti-Recombinant Calponin 1, clone A150

Item number Size Datasheet Manual SDS Delivery time Quantity Price
E-AN301455L.50 50 µl -

7 - 16 business days*

304.00€
E-AN301455L.100 100 µl -

7 - 16 business days*

464.00€
 
Thin filament-associated protein that is implicated in the regulation and modulation of smooth... more
Product information "Anti-Recombinant Calponin 1, clone A150"
Thin filament-associated protein that is implicated in the regulation and modulation of smooth muscle contraction. It is capable of binding to actin, calmodulin and tropomyosin. The interaction of calponin with actin inhibits the actomyosin Mg-ATPase activity.
Keywords: Anti-CNN1, Anti-Calponin-1, Anti-Basic calponin, Anti-Calponin H1, smooth muscle, Recombinant Calponin 1 Monoclonal Antibody
Supplier: Elabscience
Supplier-Nr: E-AN301455L

Properties

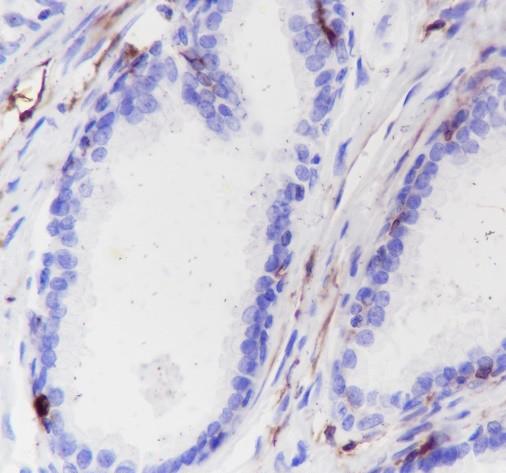
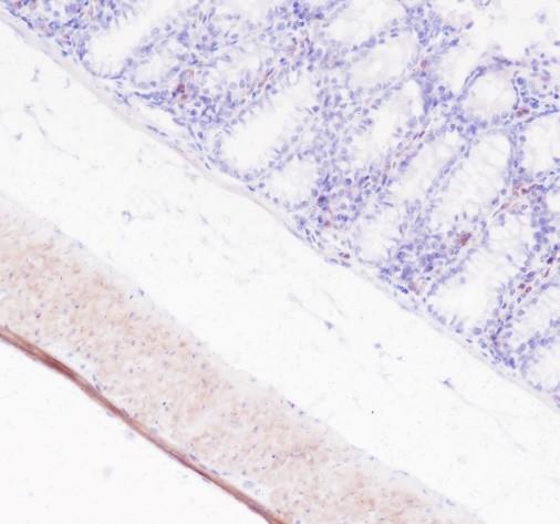
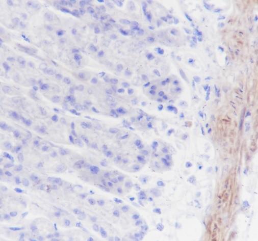
Application: WB, IHC, IF
Antibody Type: Monoclonal
Clone: A150
Conjugate: No
Host: Rabbit
Species reactivity: human, rat, mouse
Immunogen: Recombinant human Calponin 1 fragment
MW: 35 kD

Database Information

UniProt ID : P51911 | Matching products
Gene ID : GeneID 1264 | Matching products

Handling & Safety

Storage: -20°C
Shipping: -20°C (International: -20°C)
Signal Word: Warning
GHS Hazard Pictograms:
H Phrases: H317
P Phrases: P261, P272, P280, P302+352, P333+313
Caution
Our products are for laboratory research use only: Not for administration to humans!
You will get a certificate here
or to request a certificate of analysis.
Read, write and discuss reviews... more
Customer review for "Anti-Recombinant Calponin 1, clone A150"
Write a review
or to review a product.
Viewed