Anti-Recombinant ACTH, clone A681

Item number Size Datasheet Manual SDS Delivery time Quantity Price
E-AN301965L.50 50 µl -

7 - 16 business days*

304.00€
E-AN301965L.100 100 µl -

7 - 16 business days*

464.00€
 
ACTH, adrenocorticotropic hormone, is a peptide hormone cleavage product of the POMC protein... more
Product information "Anti-Recombinant ACTH, clone A681"
ACTH, adrenocorticotropic hormone, is a peptide hormone cleavage product of the POMC protein produced by the pituitary gland. ACTH plays an important role in stress and circadian rhythm signaling. Its primary action is on the adrenal cortex, where its binding induces the secretion of glucocorticoid steroid hormones. The peptide sequence for this hormone is highly evolutionarily conserved amongst mammals. Specifically, for mouse and rat, this sequence shares 100% identity.
Keywords: Anti-POMC, Anti-Pro-opiomelanocortin, Anti-Corticotropin-lipotropin, Recombinant ACTH Monoclonal Antibody
Supplier: Elabscience
Supplier-Nr: E-AN301965L

Properties

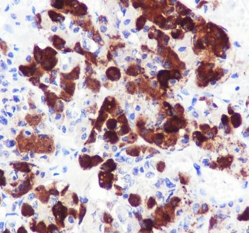
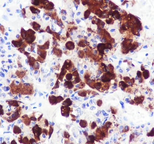
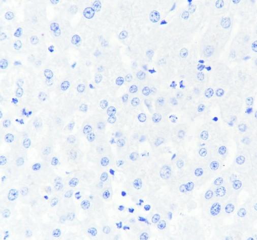
Application: IHC
Antibody Type: Monoclonal
Clone: A681
Conjugate: No
Host: Rabbit
Species reactivity: human, rat
Immunogen: Recombinant human ACTH fragment

Handling & Safety

Storage: -20°C
Shipping: -20°C (International: -20°C)
Signal Word: Warning
GHS Hazard Pictograms:
H Phrases: H317
P Phrases: P261, P272, P280, P302+352, P333+313
Caution
Our products are for laboratory research use only: Not for administration to humans!
You will get a certificate here
or to request a certificate of analysis.
Read, write and discuss reviews... more
Customer review for "Anti-Recombinant ACTH, clone A681"
Write a review
or to review a product.
Viewed