Anti-RCOR3

Item number Size Datasheet Manual SDS Delivery time Quantity Price
ATA-HPA071997.25 25 µl -

7 - 10 business days*

369.00€
ATA-HPA071997.100 100 µl -

7 - 10 business days*

491.00€
 
Protein function: May act as a component of a corepressor complex that represses transcription.... more
Product information "Anti-RCOR3"
Protein function: May act as a component of a corepressor complex that represses transcription. [The UniProt Consortium] Buffer: 40% glycerol and PBS (pH 7.2). 0.02% sodium azide is added as preservative. Highest antigen sequence identity to mouse: 91% and to rat: 94%
Keywords: Anti-RCOR3, Anti-KIAA1343, Anti-REST corepressor 3
Supplier: Atlas Antibodies
Supplier-Nr: HPA071997

Properties

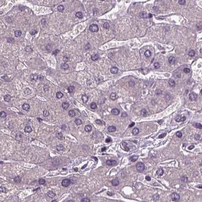
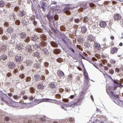
Application: IHC
Antibody Type: Polyclonal
Conjugate: No
Host: Rabbit
Species reactivity: human
Immunogen: Recombinant Protein Epitope Signature Tag (PrEST) antigen sequence: TQASNGDAST LGEETKSASN VPSGKSTDEE EEAQTPQAPR TLGPSPPAPS STPTPTAPIA TLNQ (ATA-APrEST94364)

Database Information

UniProt ID : Q9P2K3 | Matching products
Gene ID : GeneID 55758 | Matching products
Protein Atlas Nr. : ENSG00000117625

Handling & Safety

Storage: -20°C
Shipping: +20°C (International: +20°C)
Caution
Our products are for laboratory research use only: Not for administration to humans!
You will get a certificate here
or to request a certificate of analysis.
Read, write and discuss reviews... more
Customer review for "Anti-RCOR3"
Write a review
or to review a product.
Viewed