Cookie preferences
This website uses cookies, which are necessary for the technical operation of the website and are always set. Other cookies, which increase the comfort when using this website, are used for direct advertising or to facilitate interaction with other websites and social networks, are only set with your consent.
Configuration
Technically required
These cookies are necessary for the basic functions of the shop.
"Allow all cookies" cookie
"Decline all cookies" cookie
CSRF token
Cookie preferences
Currency change
Customer-specific caching
FACT-Finder tracking
Individual prices
Selected shop
Session
Comfort functions
These cookies are used to make the shopping experience even more appealing, for example for the recognition of the visitor.
Note
Show the facebook fanpage in the right blod sidebar
Statistics & Tracking
Affiliate program
Conversion and usertracking via Google Tag Manager
Track device being used
| Item number | Size | Datasheet | Manual | SDS | Delivery time | Quantity | Price |
|---|---|---|---|---|---|---|---|
| NSJ-FY12555 | 100 µg | - | - |
3 - 10 business days* |
790.00€
|
If you have any questions, please use our Contact Form.
You can also order by e-mail: info@biomol.com
Larger quantity required? Request bulk
You can also order by e-mail: info@biomol.com
Larger quantity required? Request bulk
Adding 0.2 ml of distilled water will yield a concentration of 500 ug/ml. RB1 antibody detects... more
Product information "Anti-RB1 / Retinoblastoma"
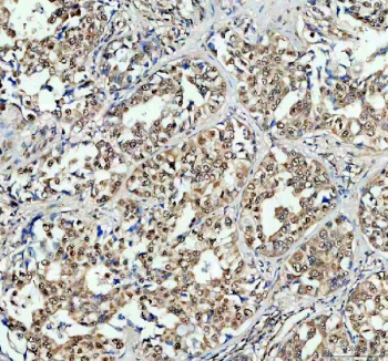
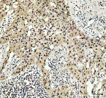
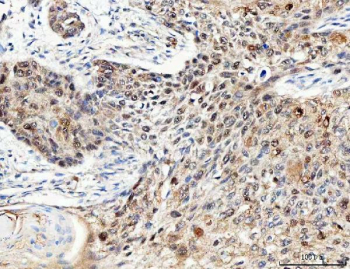
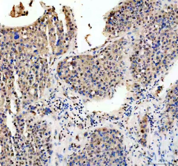
Adding 0.2 ml of distilled water will yield a concentration of 500 ug/ml. RB1 antibody detects Retinoblastoma-associated protein, a pivotal tumor suppressor that controls cell cycle progression, differentiation, and genome stability. RB1 is the founding member of the retinoblastoma protein family, which also includes RBL1 (p107) and RBL2 (p130). Through regulation of E2F transcription factors, RB1 governs the G1-to-S phase transition, making it one of the most important gatekeepers of cellular proliferation. The RB1 antibody is widely used in cancer biology, developmental research, and cell cycle studies.RB1 is encoded by the RB1 gene located on human chromosome 13q14.2. The protein is approximately 110 kilodaltons and composed of an N-terminal domain, a central pocket domain responsible for E2F binding, and a C-terminal regulatory region. RB1 activity is primarily modulated through phosphorylation by cyclin-dependent kinases (CDKs). Hypophosphorylated RB1 binds and inhibits E2F transcription factors, repressing transcription of S-phase genes. Upon phosphorylation, RB1 releases E2Fs, allowing cell cycle progression.The RB1 antibody detects the 110 kilodalton protein and phospho-variants by western blot and demonstrates nuclear localization in immunocytochemistry. RB1 serves as a platform for chromatin modifiers, recruiting histone deacetylases (HDACs) and methyltransferases to silence gene expression during quiescence and differentiation. In addition to cell cycle control, RB1 promotes genomic stability by coordinating DNA repair, replication fidelity, and mitotic checkpoints.Loss or mutation of RB1 is a hallmark of numerous cancers, including retinoblastoma, osteosarcoma, and small-cell lung carcinoma. RB1 inactivation leads to unchecked E2F activity, excessive proliferation, and impaired DNA repair. Conversely, reactivation of RB1 signaling can suppress tumor growth and restore differentiation potential in malignant cells.Beyond oncology, RB1 regulates tissue-specific differentiation, especially in muscle and neuronal lineages, by interacting with lineage-determining transcription factors. Its phosphorylation status serves as an indicator of cell cycle activity and is frequently used as a diagnostic biomarker. NSJ Bioreagents provides a validated RB1 antibody optimized for western blot, immunohistochemistry, and flow cytometry, supporting detailed studies of tumor suppression, transcriptional control, and cell cycle regulation.
| Keywords: | Anti-pRb, Anti-RB1, Anti-pp110, Anti-p105-Rb, Anti-p110-RB1, Anti-Retinoblastoma-associated protein, RB1 Antibody / Retinoblastoma |
| Supplier: | NSJ Bioreagents |
| Supplier-Nr: | FY12555 |
Properties
| Application: | WB, IHC, ICC/IF, FC, ELISA |
| Antibody Type: | Polyclonal |
| Conjugate: | No |
| Host: | Rabbit |
| Species reactivity: | human, mouse, rat |
| Immunogen: | E.coli-derived human Retinoblastoma recombinant protein (Position: E40-D921) |
| Format: | Purified |
Database Information
| KEGG ID : | K06618 | Matching products |
| UniProt ID : | P06400 | Matching products |
| Gene ID : | GeneID 5925 | Matching products |
Handling & Safety
| Storage: | +4°C |
| Shipping: | +4°C (International: +4°C) |
Caution
Our products are for laboratory research use only: Not for administration to humans!
Our products are for laboratory research use only: Not for administration to humans!
Information about the product reference will follow.
more
You will get a certificate here
Viewed