Cookie preferences
This website uses cookies, which are necessary for the technical operation of the website and are always set. Other cookies, which increase the comfort when using this website, are used for direct advertising or to facilitate interaction with other websites and social networks, are only set with your consent.
Configuration
Technically required
These cookies are necessary for the basic functions of the shop.
"Allow all cookies" cookie
"Decline all cookies" cookie
CSRF token
Cookie preferences
Currency change
Customer-specific caching
FACT-Finder tracking
Individual prices
Selected shop
Session
Comfort functions
These cookies are used to make the shopping experience even more appealing, for example for the recognition of the visitor.
Note
Show the facebook fanpage in the right blod sidebar
Statistics & Tracking
Affiliate program
Conversion and usertracking via Google Tag Manager
Track device being used
| Item number | Size | Datasheet | Manual | SDS | Delivery time | Quantity | Price |
|---|---|---|---|---|---|---|---|
| IHC-00078-T | 10 µl (2500 ng) | - |
2 - 8 business days* |
165.00€
|
|||
| IHC-00078 | 100 µl (25 µg) | - |
2 - 8 business days* |
621.00€
|
If you have any questions, please use our Contact Form.
You can also order by e-mail: info@biomol.com
Larger quantity required? Request bulk
You can also order by e-mail: info@biomol.com
Larger quantity required? Request bulk
Protein function: Accepts ubiquitin from the E1 complex and catalyzes its covalent attachment to... more
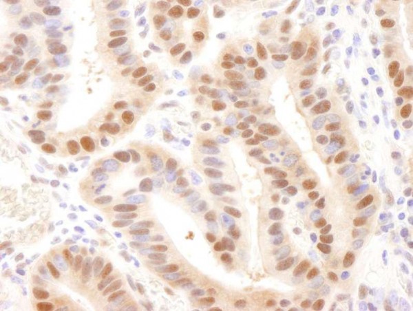
Product information "Anti-Rad6 (IHC)"
Protein function: Accepts ubiquitin from the E1 complex and catalyzes its covalent attachment to other proteins. In association with the E3 enzyme BRE1 (RNF20 and/or RNF40), it plays a role in transcription regulation by catalyzing the monoubiquitination of histone H2B at 'Lys-120' to form H2BK120ub1. H2BK120ub1 gives a specific tag for epigenetic transcriptional activation, elongation by RNA polymerase II, telomeric silencing, and is also a prerequisite for H3K4me and H3K79me formation. In vitro catalyzes 'Lys-11', as well as 'Lys-48'-linked polyubiquitination. Required for postreplication repair of UV-damaged DNA. [The UniProt Consortium]
| Keywords: | Anti-HR6A, Anti-RAD6A, Anti-UBE2A, Anti-hHR6A, Anti-RAD6 homolog A, Anti-Ubiquitin-protein ligase A, Anti-Ubiquitin carrier protein A, Anti-E2 ubiquitin-conjugating enzyme A, Anti-Ubiquitin-conjugating enzyme E2 A |
| Supplier: | Bethyl Laboratories |
| Supplier-Nr: | IHC-00078 |
Properties
| Application: | IHC |
| Antibody Type: | Polyclonal |
| Conjugate: | No |
| Host: | Rabbit |
| Species reactivity: | human, mouse (Expected: rat, d. melanogaster, zebrafish, X. laevis, X. tropicalis, chicken, bovine, horse, rabbit, guinea pig, swine, panda, orangutan, rhesus monkey, gorilla, chimpanzee, west indian ocean coelacanth, baker's yeast_559292) |
| Immunogen: | synthetic peptide. The epitope recognized by IHC-00078 maps to the N-terminus of human ubiquitin-conjugating enzyme E2A using the numbering given in Swiss-Prot entry P49459 (GeneID 7319). |
| Format: | Antigen Affinity Purified |
Database Information
| KEGG ID : | K10573 | Matching products |
| UniProt ID : | P49459 | Matching products |
| Gene ID : | GeneID 7319 | Matching products |
Handling & Safety
| Storage: | +4°C |
| Shipping: | +4°C (International: +4°C) |
Caution
Our products are for laboratory research use only: Not for administration to humans!
Our products are for laboratory research use only: Not for administration to humans!
Information about the product reference will follow.
more
You will get a certificate here
Viewed