Cookie preferences
This website uses cookies, which are necessary for the technical operation of the website and are always set. Other cookies, which increase the comfort when using this website, are used for direct advertising or to facilitate interaction with other websites and social networks, are only set with your consent.
Configuration
Technically required
These cookies are necessary for the basic functions of the shop.
"Allow all cookies" cookie
"Decline all cookies" cookie
CSRF token
Cookie preferences
Currency change
Customer-specific caching
FACT-Finder tracking
Individual prices
Selected shop
Session
Comfort functions
These cookies are used to make the shopping experience even more appealing, for example for the recognition of the visitor.
Note
Show the facebook fanpage in the right blod sidebar
Statistics & Tracking
Affiliate program
Conversion and usertracking via Google Tag Manager
Track device being used
| Item number | Size | Datasheet | Manual | SDS | Delivery time | Quantity | Price |
|---|---|---|---|---|---|---|---|
| ATA-HPA054491.100 | 100 µl |
7 - 10 business days* |
491.00€
|
If you have any questions, please use our Contact Form.
You can also order by e-mail: info@biomol.com
Larger quantity required? Request bulk
You can also order by e-mail: info@biomol.com
Larger quantity required? Request bulk
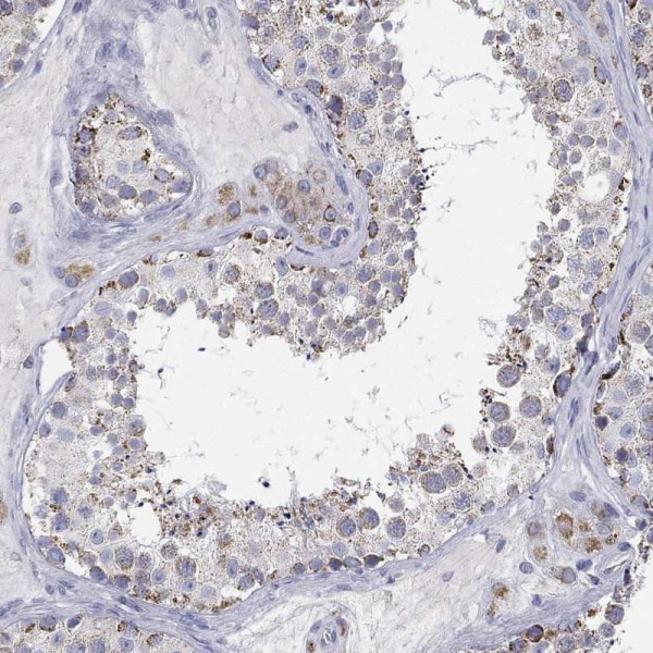
Polyclonal Antibody against Human PWWP3A, Gene description: PWWP domain containing 3A, DNA repair... more
Product information "Anti-PWWP3A"
Polyclonal Antibody against Human PWWP3A, Gene description: PWWP domain containing 3A, DNA repair factor, Alternative Gene Names: EXPAND1, MUM-1, MUM1, Validated applications: IHC, Uniprot ID: Q2TAK8, Storage: Store at +4°C for short term storage. Long time storage is recommended at -20°C. Protein function: Involved in the DNA damage response pathway by contributing to the maintenance of chromatin architecture. Recruited to the vicinity of DNA breaks by TP53BP1 and plays an accessory role to facilitate damage-induced chromatin changes and promoting chromatin relaxation. Required for efficient DNA repair and cell survival following DNA damage. [The UniProt Consortium] Mouse gene identity: 86% Rat gene identity: 86%
| Keywords: | Anti-MUM-1, Anti-PWWP3A, Anti-Protein expandere, Anti-PWWP domain-containing protein MUM1, Anti-Mutated melanoma-associated antigen 1, Anti-PWWP domain-containing DNA repair factor 3A |
| Supplier: | Atlas Antibodies |
| Supplier-Nr: | HPA054491 |
Properties
| Application: | IHC |
| Antibody Type: | Polyclonal |
| Conjugate: | No |
| Host: | Rabbit |
| Species reactivity: | human |
| Immunogen: | Recombinant Protein Epitope Signature Tag (PrEST) antigen sequence (ATA-APrEST96099) |
| Format: | Affinity Purified |
Database Information
| KEGG ID : | K23386 | Matching products |
| UniProt ID : | Q2TAK8 | Matching products |
| Gene ID : | GeneID 84939 | Matching products |
Handling & Safety
| Storage: | -20°C (+4 °C for short term storage) |
| Shipping: | +20°C (International: +20°C) |
Caution
Our products are for laboratory research use only: Not for administration to humans!
Our products are for laboratory research use only: Not for administration to humans!
Information about the product reference will follow.
more
You will get a certificate here
Viewed