Anti-PTPRZ1

Item number Size Datasheet Manual SDS Delivery time Quantity Price
ABS-KC-3126.50 50 µl - -

Request delivery time estimate

206.00€
ABS-KC-3126.100 100 µl - -

Request delivery time estimate

295.00€
 
Protein function: Protein tyrosine phosphatase that negatively regulates oligodendrocyte... more
Product information "Anti-PTPRZ1"
Protein function: Protein tyrosine phosphatase that negatively regulates oligodendrocyte precursor proliferation in the embryonic spinal cord. Required for normal differentiation of the precursor cells into mature, fully myelinating oligodendrocytes. May play a role in protecting oligondendrocytes against apoptosis. May play a role in the establishment of contextual memory, probably via the dephosphorylation of proteins that are part of important signaling cascades. [The UniProt Consortium]
Keywords: Anti-Receptor-type tyrosine-protein phosphatase zeta, Anti-R-PTP-zeta, Anti-Protein-tyrosine phosphatase receptor type Z polypeptide 1, Anti-Protein-tyrosine phosphatase receptor type Z polypeptide 2, Anti-R-PTP-zeta-2, PTPRZ1 Antibody
Supplier: Absea
Supplier-Nr: KC-3126

Properties

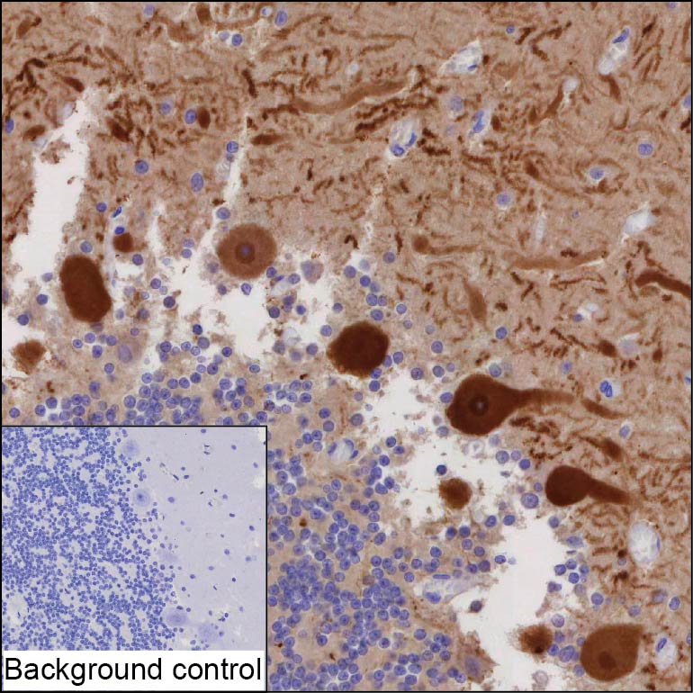
Application: IHC
Antibody Type: Monoclonal
Clone: 10B1
Conjugate: No
Host: Mouse
Species reactivity: human
Immunogen: Recombinant human PTPRZ1
Format: Solution

Handling & Safety

Storage: -20°C (avoid repeat freezing and thawing cycles)
Shipping: +4°C (International: +4°C)
Caution
Our products are for laboratory research use only: Not for administration to humans!
Information about the product reference will follow. more
You will get a certificate here
or to request a certificate of analysis.
Read, write and discuss reviews... more
Customer review for "Anti-PTPRZ1"
Write a review
or to review a product.
Viewed