Cookie preferences
This website uses cookies, which are necessary for the technical operation of the website and are always set. Other cookies, which increase the comfort when using this website, are used for direct advertising or to facilitate interaction with other websites and social networks, are only set with your consent.
Configuration
Technically required
These cookies are necessary for the basic functions of the shop.
"Allow all cookies" cookie
"Decline all cookies" cookie
CSRF token
Cookie preferences
Currency change
Customer-specific caching
FACT-Finder tracking
Individual prices
Selected shop
Session
Comfort functions
These cookies are used to make the shopping experience even more appealing, for example for the recognition of the visitor.
Note
Show the facebook fanpage in the right blod sidebar
Statistics & Tracking
Affiliate program
Conversion and usertracking via Google Tag Manager
Track device being used
| Item number | Size | Datasheet | Manual | SDS | Delivery time | Quantity | Price |
|---|---|---|---|---|---|---|---|
| ATA-HPA004938.25 | 25 µl | - |
7 - 10 business days* |
330.00€
|
|||
| ATA-HPA004938.100 | 100 µl | - |
7 - 10 business days* |
463.00€
|
If you have any questions, please use our Contact Form.
You can also order by e-mail: info@biomol.com
Larger quantity required? Request bulk
You can also order by e-mail: info@biomol.com
Larger quantity required? Request bulk
Protein function: Catalyzes the conversion of PGH2 to PGD2, a prostaglandin involved in smooth... more
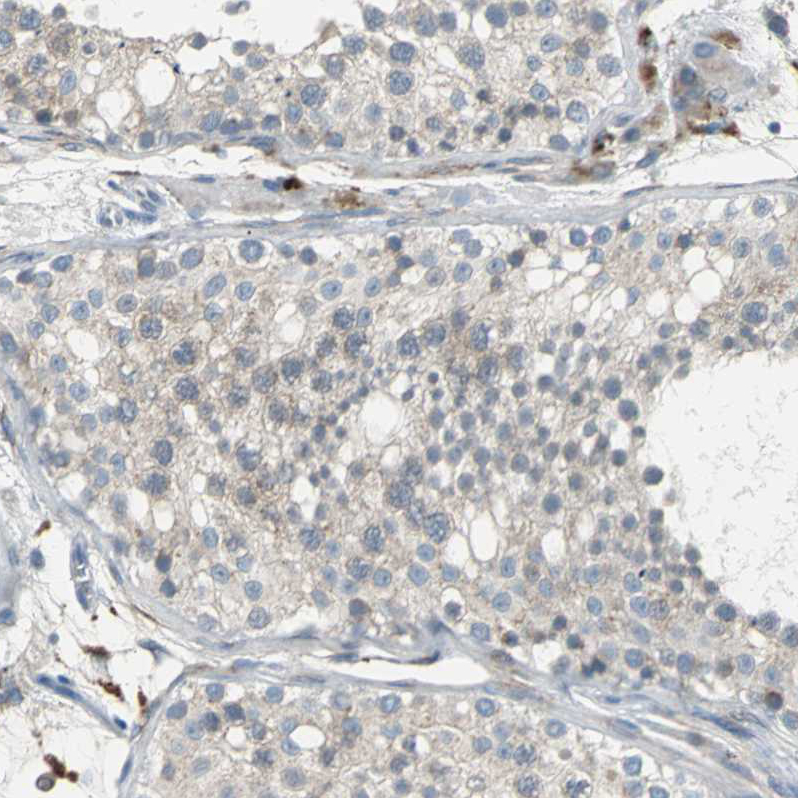
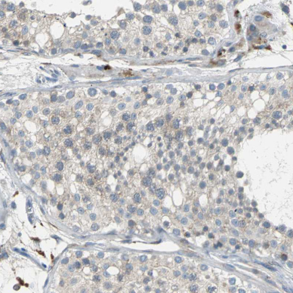
Product information "Anti-PTGDS"
Protein function: Catalyzes the conversion of PGH2 to PGD2, a prostaglandin involved in smooth muscle contraction/relaxation and a potent inhibitor of platelet aggregation (PubMed:20667974). Involved in a variety of CNS functions, such as sedation, NREM sleep and PGE2-induced allodynia, and may have an anti-apoptotic role in oligodendrocytes. Binds small non- substrate lipophilic molecules, including biliverdin, bilirubin, retinal, retinoic acid and thyroid hormone, and may act as a scavenger for harmful hydrophobic molecules and as a secretory retinoid and thyroid hormone transporter. Possibly involved in development and maintenance of the blood-brain, blood-retina, blood-aqueous humor and blood-testis barrier. It is likely to play important roles in both maturation and maintenance of the central nervous system and male reproductive system (PubMed:20667974, PubMed:9475419). Involved in PLA2G3-dependent maturation of mast cells. PLA2G3 is secreted by immature mast cells and acts on nearby fibroblasts upstream to PTDGS to synthesize PGD2, which in turn promotes mast cell maturation and degranulation via PTGDR. [The UniProt Consortium] Buffer: 40% glycerol and PBS (pH 7.2). 0.02% sodium azide is added as preservative. Highest antigen sequence identity to mouse: 76% and to rat: 74%
| Keywords: | Anti-PDS, Anti-PGDS, Anti-PTGDS, Anti-PGDS2, Anti-L-PGDS, Anti-Cerebrin-28, Anti-PGD2 synthase, Anti-Beta-trace protein, Anti-Prostaglandin-D2 synthase, Anti-Prostaglandin-H2 D-isomerase, Anti-Glutathione-independent PGD synthase |
| Supplier: | Atlas Antibodies |
| Supplier-Nr: | HPA004938 |
Properties
| Application: | IHC, WB |
| Antibody Type: | Polyclonal |
| Conjugate: | No |
| Host: | Rabbit |
| Species reactivity: | human |
| Immunogen: | Recombinant Protein Epitope Signature Tag (PrEST) antigen sequence: SWLREKKAAL SMCKSVVAPA TDGGLNLTST FLRKNQCETR TMLLQPAGSL GSYSYRSPHW GSTYSVSVVE TDYDQYALLY SQGSKGPGED FRMATLYSRT QT (ATA-APrEST70110) |
Database Information
| KEGG ID : | K01830 | Matching products |
| UniProt ID : | P41222 | Matching products |
| Gene ID : | GeneID 5730 | Matching products |
| Protein Atlas Nr. : | ENSG00000107317 |
Handling & Safety
| Storage: | -20°C |
| Shipping: | +20°C (International: +20°C) |
Caution
Our products are for laboratory research use only: Not for administration to humans!
Our products are for laboratory research use only: Not for administration to humans!
Information about the product reference will follow.
more
You will get a certificate here
Viewed