Anti-Prothrombin

Item number Size Datasheet Manual SDS Delivery time Quantity Price
ARG58569.50 50 µg - -

6 - 14 business days*

551.00€
 
Protein function: Thrombin, which cleaves bonds after Arg and Lys, converts fibrinogen to fibrin... more
Product information "Anti-Prothrombin"
Protein function: Thrombin, which cleaves bonds after Arg and Lys, converts fibrinogen to fibrin and activates factors V, VII, VIII, XIII, and, in complex with thrombomodulin, protein C. Functions in blood homeostasis, inflammation and wound healing. [The UniProt Consortium]
Keywords: Anti-F2, EC=3.4.21.5
Supplier: Arigo Biolaboratories
Supplier-Nr: ARG58569

Properties

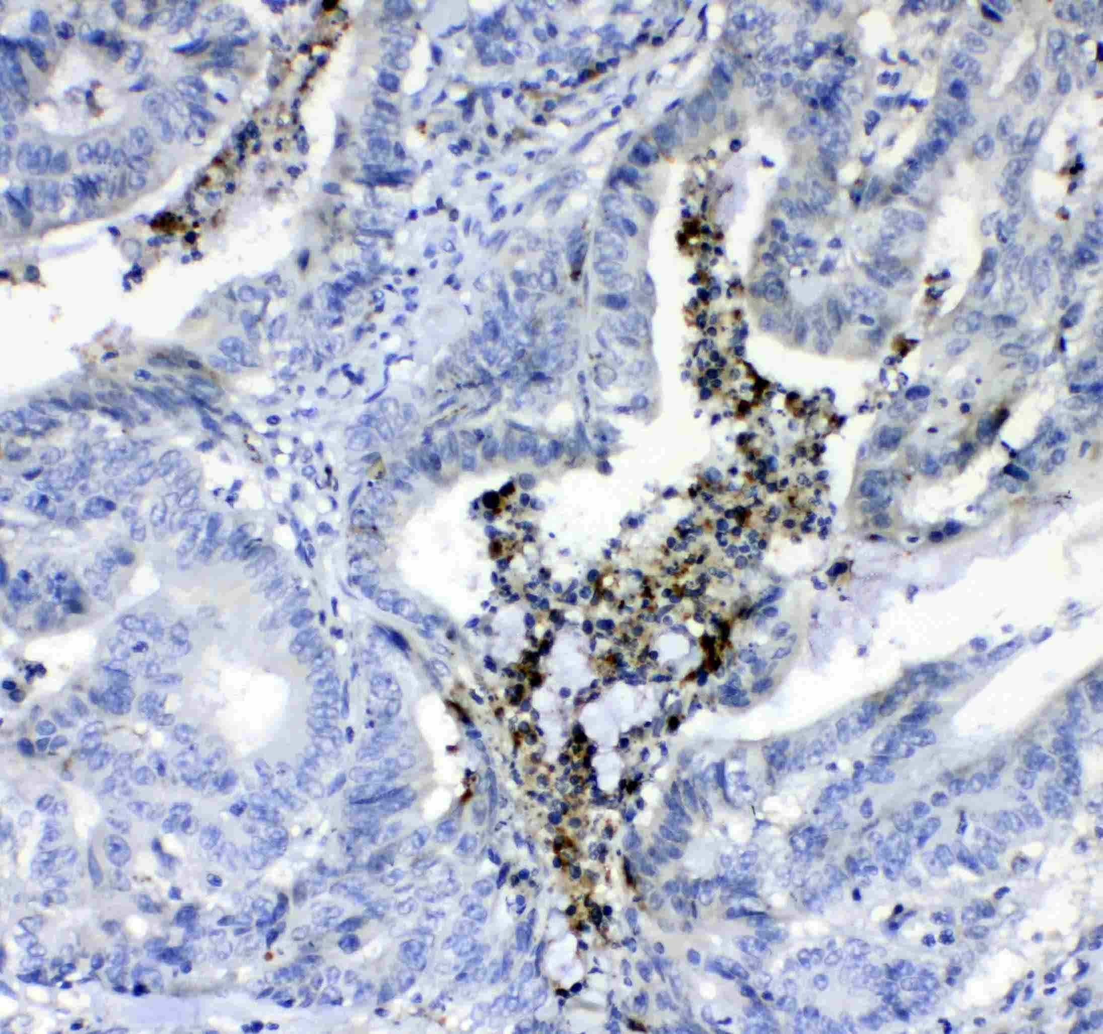
Application: IHC (paraffin), WB
Antibody Type: Polyclonal
Conjugate: No
Host: Rabbit
Species reactivity: human
Immunogen: Recombinant protein corresponding to Y97-R124 of Human Prothrombin
Format: Purified

Handling & Safety

Storage: -20°C
Shipping: +4°C (International: °C)
Caution
Our products are for laboratory research use only: Not for administration to humans!
You will get a certificate here
or to request a certificate of analysis.
Read, write and discuss reviews... more
Customer review for "Anti-Prothrombin"
Write a review
or to review a product.
Viewed