Cookie preferences
This website uses cookies, which are necessary for the technical operation of the website and are always set. Other cookies, which increase the comfort when using this website, are used for direct advertising or to facilitate interaction with other websites and social networks, are only set with your consent.
Configuration
Technically required
These cookies are necessary for the basic functions of the shop.
"Allow all cookies" cookie
"Decline all cookies" cookie
CSRF token
Cookie preferences
Currency change
Customer-specific caching
FACT-Finder tracking
Individual prices
Selected shop
Session
Comfort functions
These cookies are used to make the shopping experience even more appealing, for example for the recognition of the visitor.
Note
Show the facebook fanpage in the right blod sidebar
Statistics & Tracking
Affiliate program
Conversion and usertracking via Google Tag Manager
Track device being used
| Item number | Size | Datasheet | Manual | SDS | Delivery time | Quantity | Price |
|---|---|---|---|---|---|---|---|
| NSJ-V8036SAF-100UG | 100 µg | - | - |
3 - 10 business days* |
810.00€
|
If you have any questions, please use our Contact Form.
You can also order by e-mail: info@biomol.com
Larger quantity required? Request bulk
You can also order by e-mail: info@biomol.com
Larger quantity required? Request bulk
1 mg/ml in 1X PBS, BSA free, sodium azide free. It recognizes a protein of 70kDa, identified as... more
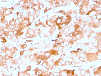
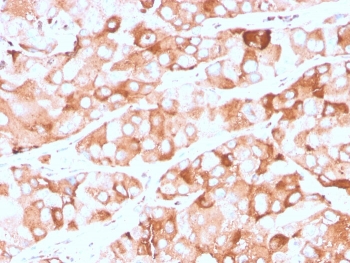
Product information "Anti-Prolactin Receptor / PRLR, clone rPRLR/742"
1 mg/ml in 1X PBS, BSA free, sodium azide free. It recognizes a protein of 70kDa, identified as prolactin receptor. Prolactin is a pituitary hormone involved in the stimulation of milk production, salt and water regulation, growth, development and reproduction. The initial step in its action is the binding to a specific membrane receptor (prolactin receptor), which belongs to the superfamily of class 1 cytokine receptors. The function of the prolactin receptor is mediated, at least in part, by two families of signaling molecules: Janus kinases and signal transducers and activators of transcription. Protein function: This is a receptor for the anterior pituitary hormone prolactin (PRL). Acts as a prosurvival factor for spermatozoa by inhibiting sperm capacitation through suppression of SRC kinase activation and stimulation of AKT. Isoform 4 is unable to transduce prolactin signaling. Isoform 6 is unable to transduce prolactin signaling. [The UniProt Consortium]
| Keywords: | Anti-PRLR, Anti-PRL-R, Anti-Prolactin receptor, Prolactin Receptor Antibody / PRLR |
| Supplier: | NSJ Bioreagents |
| Supplier-Nr: | V8036SAF |
Properties
| Application: | IHC (paraffin) |
| Antibody Type: | Monoclonal |
| Clone: | rPRLR/742 |
| Conjugate: | No |
| Host: | Mouse |
| Species reactivity: | human |
| Immunogen: | A recombinant full-length human protein |
| Format: | Purified |
Database Information
| KEGG ID : | K05081 | Matching products |
| UniProt ID : | P16471 | Matching products |
| Gene ID : | GeneID 5618 | Matching products |
Handling & Safety
| Storage: | +4°C |
| Shipping: | +4°C (International: +4°C) |
Caution
Our products are for laboratory research use only: Not for administration to humans!
Our products are for laboratory research use only: Not for administration to humans!
Information about the product reference will follow.
more
You will get a certificate here
Viewed