Cookie preferences
This website uses cookies, which are necessary for the technical operation of the website and are always set. Other cookies, which increase the comfort when using this website, are used for direct advertising or to facilitate interaction with other websites and social networks, are only set with your consent.
Configuration
Technically required
These cookies are necessary for the basic functions of the shop.
"Allow all cookies" cookie
"Decline all cookies" cookie
CSRF token
Cookie preferences
Currency change
Customer-specific caching
FACT-Finder tracking
Individual prices
Selected shop
Session
Comfort functions
These cookies are used to make the shopping experience even more appealing, for example for the recognition of the visitor.
Note
Show the facebook fanpage in the right blod sidebar
Statistics & Tracking
Affiliate program
Conversion and usertracking via Google Tag Manager
Track device being used
| Item number | Size | Datasheet | Manual | SDS | Delivery time | Quantity | Price |
|---|---|---|---|---|---|---|---|
| ATA-HPA004247.25 | 25 µl | - |
7 - 10 business days* |
330.00€
|
|||
| ATA-HPA004247.100 | 100 µl | - |
7 - 10 business days* |
463.00€
|
If you have any questions, please use our Contact Form.
You can also order by e-mail: info@biomol.com
Larger quantity required? Request bulk
You can also order by e-mail: info@biomol.com
Larger quantity required? Request bulk
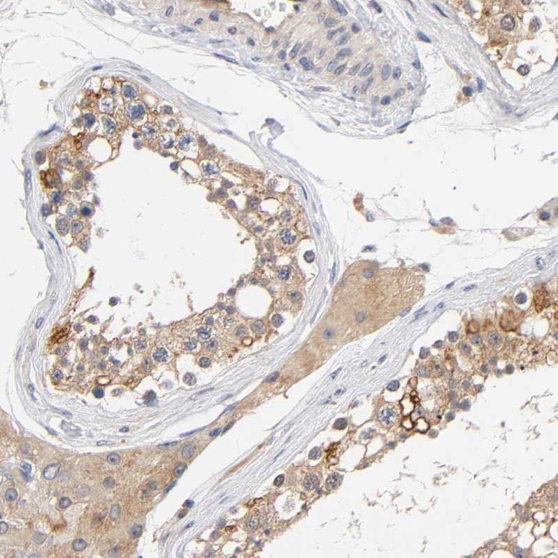
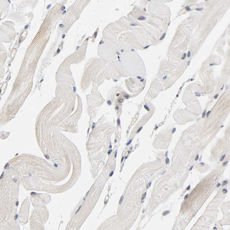
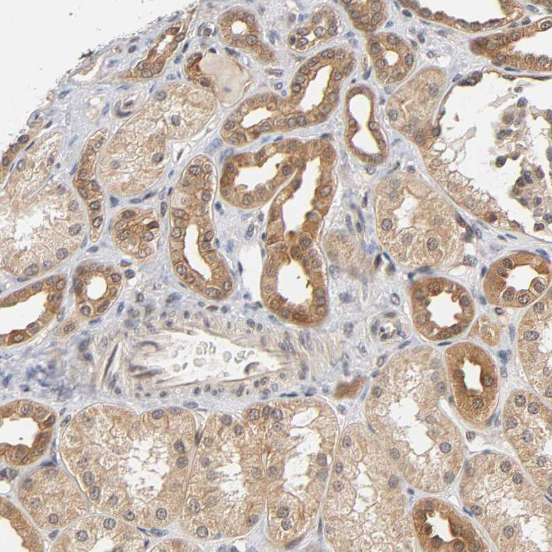
Protein function: Non-catalytic subunit of AMP-activated protein kinase (AMPK), an energy sensor... more
Product information "Anti-PRKAB1"
Protein function: Non-catalytic subunit of AMP-activated protein kinase (AMPK), an energy sensor protein kinase that plays a key role in regulating cellular energy metabolism. In response to reduction of intracellular ATP levels, AMPK activates energy-producing pathways and inhibits energy-consuming processes: inhibits protein, carbohydrate and lipid biosynthesis, as well as cell growth and proliferation. AMPK acts via direct phosphorylation of metabolic enzymes, and by longer-term effects via phosphorylation of transcription regulators. Also acts as a regulator of cellular polarity by remodeling the actin cytoskeleton, probably by indirectly activating myosin. Beta non-catalytic subunit acts as a scaffold on which the AMPK complex assembles, via its C- terminus that bridges alpha (PRKAA1 or PRKAA2) and gamma subunits (PRKAG1, PRKAG2 or PRKAG3). [The UniProt Consortium] Buffer: 40% glycerol and PBS (pH 7.2). 0.02% sodium azide is added as preservative. Highest antigen sequence identity to mouse: 95% and to rat: 94%
| Keywords: | Anti-AMPK, Anti-AMPKb, Anti-PRKAB1, Anti-AMPK subunit beta-1, Anti-5'-AMP-activated protein kinase subunit beta-1 |
| Supplier: | Atlas Antibodies |
| Supplier-Nr: | HPA004247 |
Properties
| Application: | ICC, IHC, WB |
| Antibody Type: | Polyclonal |
| Conjugate: | No |
| Host: | Rabbit |
| Species reactivity: | human, mouse, rat |
| Immunogen: | Recombinant Protein Epitope Signature Tag (PrEST) antigen sequence: MGNTSSERAA LERHGGHKTP RRDSSGGTKD GDRPKILMDS PEDADLFHSE EIKAPEKEEF LAWQHDLEVN DKAPAQARPT VFRWTGGGKE VYLSGSFNNW (ATA-APrEST86735) |
Database Information
| KEGG ID : | K07199 | Matching products |
| UniProt ID : | Q9Y478 | Matching products |
| Gene ID : | GeneID 5564 | Matching products |
| Protein Atlas Nr. : | ENSG00000111725 |
Handling & Safety
| Storage: | -20°C |
| Shipping: | +20°C (International: +20°C) |
Caution
Our products are for laboratory research use only: Not for administration to humans!
Our products are for laboratory research use only: Not for administration to humans!
Information about the product reference will follow.
more
You will get a certificate here
Viewed