Cookie preferences
This website uses cookies, which are necessary for the technical operation of the website and are always set. Other cookies, which increase the comfort when using this website, are used for direct advertising or to facilitate interaction with other websites and social networks, are only set with your consent.
Configuration
Technically required
These cookies are necessary for the basic functions of the shop.
"Allow all cookies" cookie
"Decline all cookies" cookie
CSRF token
Cookie preferences
Currency change
Customer-specific caching
FACT-Finder tracking
Individual prices
Selected shop
Session
Comfort functions
These cookies are used to make the shopping experience even more appealing, for example for the recognition of the visitor.
Note
Show the facebook fanpage in the right blod sidebar
Statistics & Tracking
Affiliate program
Conversion and usertracking via Google Tag Manager
Track device being used
| Item number | Size | Datasheet | Manual | SDS | Delivery time | Quantity | Price |
|---|---|---|---|---|---|---|---|
| NSJ-FY12281 | 100 µg | - | - |
3 - 10 business days* |
790.00€
|
If you have any questions, please use our Contact Form.
You can also order by e-mail: info@biomol.com
Larger quantity required? Request bulk
You can also order by e-mail: info@biomol.com
Larger quantity required? Request bulk
Adding 0.2 ml of distilled water will yield a concentration of 500 ug/ml. PPP2R5E antibody... more
Product information "Anti-PPP2R5E / PP2A regulatory subunit epsilon"
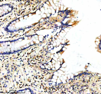
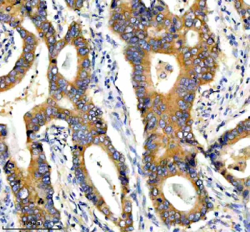
Adding 0.2 ml of distilled water will yield a concentration of 500 ug/ml. PPP2R5E antibody detects Serine/threonine-protein phosphatase 2A 56 kDa regulatory subunit epsilon isoform, encoded by the PPP2R5E gene on chromosome 14q23.2. PPP2R5E antibody is used in studies of phosphatase signaling, cell cycle regulation, and cancer. PPP2R5E encodes a regulatory B56 subunit of protein phosphatase 2A (PP2A), a major serine/threonine phosphatase that regulates diverse cellular processes, including signal transduction, apoptosis, and DNA replication. The B56 epsilon subunit directs PP2A holoenzyme localization and substrate specificity.Structurally, PPP2R5E is a ~55 kDa protein containing HEAT repeat motifs that mediate protein-protein interactions. It associates with the PP2A catalytic C subunit and scaffolding A subunit to form a heterotrimeric holoenzyme. Alternative splicing produces isoforms that regulate localization and target binding. PPP2R5E is primarily nuclear but can localize to the cytoplasm depending on signaling context.Functionally, PPP2R5E directs PP2A activity toward substrates involved in cell cycle progression, DNA damage response, and Wnt signaling. It has been implicated in regulation of mitotic exit, checkpoint activation, and dephosphorylation of key transcription factors. Researchers use PPP2R5E antibody to study PP2A holoenzyme regulation, signaling networks, and disease mechanisms.Clinically, alterations in PP2A subunits, including PPP2R5E, have been linked to cancer, where loss of PP2A tumor suppressor activity contributes to abnormal signaling. Dysregulation of PPP2R5E may influence pathways such as Myc stabilization, Akt signaling, and beta-catenin activity. Because PP2A is a critical tumor suppressor, PPP2R5E and other regulatory subunits are being investigated as biomarkers and therapeutic targets. NSJ Bioreagents provides PPP2R5E antibody for research on phosphatase regulation, cell signaling, and cancer biology.Experimentally, PPP2R5E antibody is applied in western blotting to detect the ~55 kDa protein, in immunohistochemistry to study tissue expression, and in co-immunoprecipitation to identify PP2A holoenzyme partners. It is also used in phosphatase assays to assess regulatory subunit effects on enzymatic activity.
| Keywords: | Anti-PPP2R5E, Anti-PP2A B subunit isoform B'-epsilon, Anti-PP2A B subunit isoform R5-epsilon, Anti-PP2A B subunit isoform B56-epsilon, Anti-PP2A B subunit isoform PR61-epsilon, Anti-Serine/threonine-protein phosphatase 2A 56 kDa regulatory subunit epsilon |
| Supplier: | NSJ Bioreagents |
| Supplier-Nr: | FY12281 |
Properties
| Application: | WB, IHC, FC, ELISA |
| Antibody Type: | Polyclonal |
| Conjugate: | No |
| Host: | Rabbit |
| Species reactivity: | human, mouse, rat |
| Immunogen: | E.coli-derived human PPP2R5E recombinant protein (Position: K41-Q434) |
| Format: | Purified |
Database Information
| KEGG ID : | K11584 | Matching products |
| UniProt ID : | Q16537 | Matching products |
| Gene ID : | GeneID 5529 | Matching products |
Handling & Safety
| Storage: | +4°C |
| Shipping: | +4°C (International: +4°C) |
Caution
Our products are for laboratory research use only: Not for administration to humans!
Our products are for laboratory research use only: Not for administration to humans!
Information about the product reference will follow.
more
You will get a certificate here
Viewed