Cookie preferences
This website uses cookies, which are necessary for the technical operation of the website and are always set. Other cookies, which increase the comfort when using this website, are used for direct advertising or to facilitate interaction with other websites and social networks, are only set with your consent.
Configuration
Technically required
These cookies are necessary for the basic functions of the shop.
"Allow all cookies" cookie
"Decline all cookies" cookie
CSRF token
Cookie preferences
Currency change
Customer-specific caching
FACT-Finder tracking
Individual prices
Selected shop
Session
Comfort functions
These cookies are used to make the shopping experience even more appealing, for example for the recognition of the visitor.
Note
Show the facebook fanpage in the right blod sidebar
Statistics & Tracking
Affiliate program
Conversion and usertracking via Google Tag Manager
Track device being used
| Item number | Size | Datasheet | Manual | SDS | Delivery time | Quantity | Price |
|---|---|---|---|---|---|---|---|
| IHC-00163-T | 10 µl (1 µg) | - |
2 - 8 business days* |
165.00€
|
|||
| IHC-00163 | 100 µl (10 µg) | - |
2 - 8 business days* |
621.00€
|
If you have any questions, please use our Contact Form.
You can also order by e-mail: info@biomol.com
Larger quantity required? Request bulk
You can also order by e-mail: info@biomol.com
Larger quantity required? Request bulk
Members of the protein phosphatase 2C (PP2C) family of isoenzymes are serine/threonine protein... more
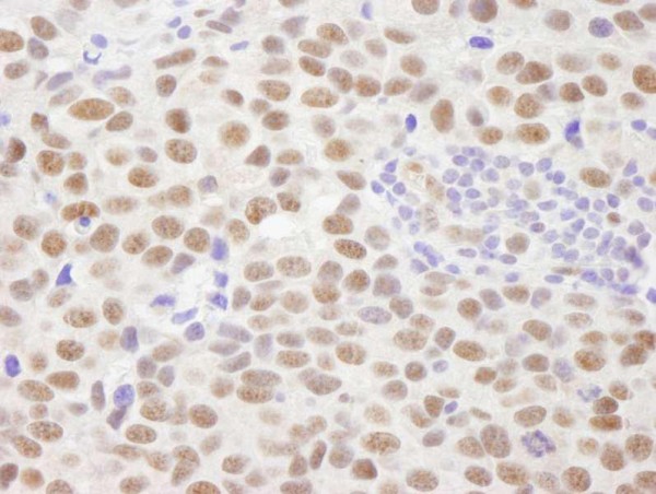
Product information "Anti-PPM1G (IHC)"
Members of the protein phosphatase 2C (PP2C) family of isoenzymes are serine/threonine protein phosphatases that act as monomers, are magnesium or manganese dependent, and are structurally distinct from PP1, PP2A, and PP2B protein phosphatases. There are 14 mammalian PP2C genes that encode for members of the PP2C family of isoenzymes. Members of this family include PP2C alpha (PPM1A), PP2C beta (PPM1B), PP2C gamma (PPM1G), and PP2C delta (PPM1D). Because PPM1G has been shown to bind and dephosphorylate histones H2A and H2B, it appears to play a role in chromatin remodeling in response to DNA damage. Alternate designations for PPM1G include protein phosphatase 1G, protein phosphatase 2C isoform gamma, PP2C-gamma, protein phosphatase magnesium-dependent 1 gamma, protein phosphatase 1C, PPM1C, PP2CG, PPP2CG, MGC1675, MGC2870, and PP2CGAMMA
| Keywords: | Anti-PPM1C, Anti-PPM1G, Anti-PP2C-gamma, EC=3.1.3.16, Anti-Protein phosphatase 1C, Anti-Protein phosphatase 1G, Anti-Protein phosphatase 2C isoform gamma, Anti-Protein phosphatase magnesium-dependent 1 gamma |
| Supplier: | Bethyl Laboratories |
| Supplier-Nr: | IHC-00163 |
Properties
| Application: | IHC |
| Antibody Type: | Polyclonal |
| Conjugate: | No |
| Host: | Rabbit |
| Species reactivity: | human, mouse (Expected: X. laevis, X. tropicalis, chicken, turkey, bovine, dog, horse, rabbit, guinea pig, swine, panda, orangutan, rhesus monkey, gorilla, chimpanzee, duckbill platypus, tasmanian devil, northern white-cheeked gibbon) |
| Immunogen: | synthetic peptide. The epitope recognized by IHC-00163 maps to a region between residues 400 and 450 of human Protein Phosphatase Magnesium-dependent 1 Gamma using the numbering given in entry NP_817092.1 (GeneID 5496). |
| Format: | Antigen Affinity Purified |
Database Information
| KEGG ID : | K17499 | Matching products |
| UniProt ID : | O15355 | Matching products |
| Gene ID : | GeneID 5496 | Matching products |
Handling & Safety
| Storage: | +4°C |
| Shipping: | +4°C (International: +4°C) |
Caution
Our products are for laboratory research use only: Not for administration to humans!
Our products are for laboratory research use only: Not for administration to humans!
Information about the product reference will follow.
more
You will get a certificate here
Viewed