Cookie preferences
This website uses cookies, which are necessary for the technical operation of the website and are always set. Other cookies, which increase the comfort when using this website, are used for direct advertising or to facilitate interaction with other websites and social networks, are only set with your consent.
Configuration
Technically required
These cookies are necessary for the basic functions of the shop.
"Allow all cookies" cookie
"Decline all cookies" cookie
CSRF token
Cookie preferences
Currency change
Customer-specific caching
FACT-Finder tracking
Individual prices
Selected shop
Session
Comfort functions
These cookies are used to make the shopping experience even more appealing, for example for the recognition of the visitor.
Note
Show the facebook fanpage in the right blod sidebar
Statistics & Tracking
Affiliate program
Conversion and usertracking via Google Tag Manager
Track device being used
| Item number | Size | Datasheet | Manual | SDS | Delivery time | Quantity | Price |
|---|---|---|---|---|---|---|---|
| NSJ-R31983 | 100 µg | - | - |
3 - 10 business days* |
790.00€
|
If you have any questions, please use our Contact Form.
You can also order by e-mail: info@biomol.com
Larger quantity required? Request bulk
You can also order by e-mail: info@biomol.com
Larger quantity required? Request bulk
0.5mg/ml if reconstituted with 0.2ml sterile DI water. POR is a membrane-bound enzyme required... more
Product information "Anti-POR / CYPOR / Cytochrome P450 Oxidoreductase"
0.5mg/ml if reconstituted with 0.2ml sterile DI water. POR is a membrane-bound enzyme required for electron transfer from NADPH to Cytochrome p450 in the endoplasmic reticulum of theeukaryotic cell. The gene encodes an endoplasmic reticulum membrane oxidoreductase with an FAD-binding domain and a flavodoxin-like domain. The protein binds two cofactors, FAD and FMN, which allow it to donate electrons directly from NADPH to all microsomal p450 enzymes. Mutations in this gene have been associated with various diseases, including apparent combined p450C17 and p450C21 deficiency, amenorrhea and disordered steroidogenesis, congenital adrenal hyperplasia and Antley-Bixler syndrome. Protein function: This enzyme is required for electron transfer from NADP to cytochrome P450 in microsomes. It can also provide electron transfer to heme oxygenase and cytochrome B5. [The UniProt Consortium]
| Keywords: | Anti-CPR, Anti-CYPOR, Anti-P450R, Anti-NADPH--cytochrome P450 reductase, POR Antibody / CYPOR / Cytochrome P450 Oxidoreductase |
| Supplier: | NSJ Bioreagents |
| Supplier-Nr: | R31983 |
Properties
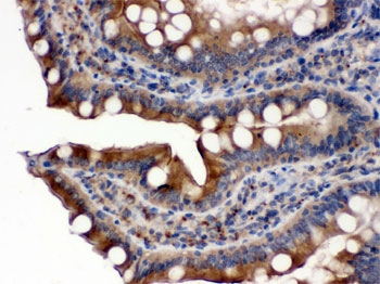
| Application: | WB, IHC (paraffin), FC |
| Antibody Type: | Polyclonal |
| Conjugate: | No |
| Host: | Rabbit |
| Species reactivity: | human, mouse, rat |
| Immunogen: | Amino acids RNMARDVQNTFYDIVAELGAMEHAQAVDYIKKLMTK of human Cytochrome P450 Oxidoreductase were used as the immunogen for the POR antibody. |
| Format: | Purified |
Database Information
| KEGG ID : | K00327 | Matching products |
| UniProt ID : | P16435 | Matching products |
| Gene ID : | GeneID 5447 | Matching products |
Handling & Safety
| Storage: | +4°C |
| Shipping: | +4°C (International: +4°C) |
Caution
Our products are for laboratory research use only: Not for administration to humans!
Our products are for laboratory research use only: Not for administration to humans!
Information about the product reference will follow.
more
You will get a certificate here
Viewed