Cookie preferences
This website uses cookies, which are necessary for the technical operation of the website and are always set. Other cookies, which increase the comfort when using this website, are used for direct advertising or to facilitate interaction with other websites and social networks, are only set with your consent.
Configuration
Technically required
These cookies are necessary for the basic functions of the shop.
"Allow all cookies" cookie
"Decline all cookies" cookie
CSRF token
Cookie preferences
Currency change
Customer-specific caching
FACT-Finder tracking
Individual prices
Selected shop
Session
Comfort functions
These cookies are used to make the shopping experience even more appealing, for example for the recognition of the visitor.
Note
Show the facebook fanpage in the right blod sidebar
Statistics & Tracking
Affiliate program
Conversion and usertracking via Google Tag Manager
Track device being used
| Item number | Size | Datasheet | Manual | SDS | Delivery time | Quantity | Price |
|---|---|---|---|---|---|---|---|
| NSJ-V7525SAF-100UG | 100 µg | - | - |
3 - 10 business days* |
810.00€
|
If you have any questions, please use our Contact Form.
You can also order by e-mail: info@biomol.com
Larger quantity required? Request bulk
You can also order by e-mail: info@biomol.com
Larger quantity required? Request bulk
1 mg/ml in 1X PBS, BSA free, sodium azide free. RNA polymerase II (Pol II) is an enzyme that is... more
Product information "Anti-POLR2A / RNA polymerase II subunit RPB1 / Phosphorylated Serine 5, clone CTD 8A7"
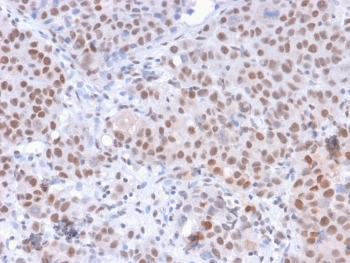
1 mg/ml in 1X PBS, BSA free, sodium azide free. RNA polymerase II (Pol II) is an enzyme that is composed of 12 subunits and is responsible for the transcription of protein-coding genes. Transcription initiation requires Pol II-mediated recruitment of transcription machinery to a target promoter, thereby allowing transcription to begin. The largest subunit of Pol II (referred to as RPB1 or RPB205) is a 1,840 amino acid protein that contains one C2H2-type zinc finger and a C-terminal domain comprised of several heptapeptide repeats. Although Pol II function requires the cooperation of all twelve subunits, the largest subunit conveys Pol II catalytic activity and, together with the second largest subunit, forms the active center of the Pol II enzyme. Additionally, the large subunit participates in forming the DNA-binding domain of Pol II, a groove that is necessary for transcription of the DNA template. Without proper function of the large subunit, mRNA synthesis and subsequent transcription elongation cannot occur. Protein function: DNA-dependent RNA polymerase catalyzes the transcription of DNA into RNA using the four ribonucleoside triphosphates as substrates. Largest and catalytic component of RNA polymerase II which synthesizes mRNA precursors and many functional non-coding RNAs. Forms the polymerase active center together with the second largest subunit. Pol II is the central component of the basal RNA polymerase II transcription machinery. It is composed of mobile elements that move relative to each other. RPB1 is part of the core element with the central large cleft, the clamp element that moves to open and close the cleft and the jaws that are thought to grab the incoming DNA template. At the start of transcription, a single-stranded DNA template strand of the promoter is positioned within the central active site cleft of Pol II. A bridging helix emanates from RPB1 and crosses the cleft near the catalytic site and is thought to promote translocation of Pol II by acting as a ratchet that moves the RNA-DNA hybrid through the active site by switching from straight to bent conformations at each step of nucleotide addition. During transcription elongation, Pol II moves on the template as the transcript elongates. Elongation is influenced by the phosphorylation status of the C-terminal domain (CTD) of Pol II largest subunit (RPB1), which serves as a platform for assembly of factors that regulate transcription initiation, elongation, termination and mRNA processing. Regulation of gene expression levels depends on the balance between methylation and acetylation levels of tha CTD-lysines. Initiation or early elongation steps of transcription of growth-factors- induced immediate early genes are regulated by the acetylation status of the CTD (PubMed:24207025). Methylation and dimethylation have a repressive effect on target genes expression. [The UniProt Consortium]
| Keywords: | Anti-POLR2, Anti-POLR2A, EC=2.7.7.6, EC=2.7.7.48, Anti-RNA polymerase II subunit B1, Anti-DNA-directed RNA polymerase II subunit A, Anti-RNA-directed RNA polymerase II subunit RPB1, Anti-DNA-directed RNA polymerase II subunit RPB1, POLR2A Antibody / RNA p |
| Supplier: | NSJ Bioreagents |
| Supplier-Nr: | V7525SAF |
Properties
| Application: | IHC (paraffin), WB, IF |
| Antibody Type: | Monoclonal |
| Clone: | CTD 8A7 |
| Conjugate: | No |
| Host: | Mouse |
| Species reactivity: | human, yeast |
| Immunogen: | The immunogen for this phospho-RNA polymerase II antibody was 10 repeats of synthetic peptide YSPTSPS using chemically synthesized phospho-S5. |
| Format: | Purified |
Database Information
| KEGG ID : | K03006 | Matching products |
| UniProt ID : | P24928 | Matching products |
| Gene ID : | GeneID 5430 | Matching products |
Handling & Safety
| Storage: | +4°C |
| Shipping: | +4°C (International: +4°C) |
Caution
Our products are for laboratory research use only: Not for administration to humans!
Our products are for laboratory research use only: Not for administration to humans!
Information about the product reference will follow.
more
You will get a certificate here
Viewed