Cookie preferences
This website uses cookies, which are necessary for the technical operation of the website and are always set. Other cookies, which increase the comfort when using this website, are used for direct advertising or to facilitate interaction with other websites and social networks, are only set with your consent.
Configuration
Technically required
These cookies are necessary for the basic functions of the shop.
"Allow all cookies" cookie
"Decline all cookies" cookie
CSRF token
Cookie preferences
Currency change
Customer-specific caching
FACT-Finder tracking
Individual prices
Selected shop
Session
Comfort functions
These cookies are used to make the shopping experience even more appealing, for example for the recognition of the visitor.
Note
Show the facebook fanpage in the right blod sidebar
Statistics & Tracking
Affiliate program
Conversion and usertracking via Google Tag Manager
Track device being used
| Item number | Size | Datasheet | Manual | SDS | Delivery time | Quantity | Price |
|---|---|---|---|---|---|---|---|
| ATA-HPA044297.25 | 25 µl | - |
7 - 10 business days* |
369.00€
|
|||
| ATA-HPA044297.100 | 100 µl | - |
7 - 10 business days* |
491.00€
|
If you have any questions, please use our Contact Form.
You can also order by e-mail: info@biomol.com
Larger quantity required? Request bulk
You can also order by e-mail: info@biomol.com
Larger quantity required? Request bulk
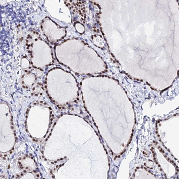
Protein function: Catalyzes the reaction that attaches fucose through an O- glycosidic linkage to... more
Product information "Anti-POFUT2"
Protein function: Catalyzes the reaction that attaches fucose through an O- glycosidic linkage to a conserved serine or threonine residue in the consensus sequence C1-X(2,3)-S/T-C2-X(2)-G of thrombospondin type 1 repeats where C1 and C2 are the first and second cysteines, respectively. O-fucosylates members of several protein families including the ADAMTS family, the thrombosporin (TSP) and spondin families. The O-fucosylation of TSRs is also required for restricting epithelial to mesenchymal transition (EMT), maintaining the correct patterning of mesoderm and localization of the definite endoderm. Required for the proper secretion of ADAMTS family members such as ADAMSL1 and ADAMST13. [The UniProt Consortium] Buffer: 40% glycerol and PBS (pH 7.2). 0.02% sodium azide is added as preservative. Highest antigen sequence identity to mouse: 97% and to rat: 97%
| Keywords: | Anti-POFUT2, Anti-O-FucT-2, Anti-C21orf80, EC=2.4.1.221, Anti-Peptide-O-fucosyltransferase 2, Anti-GDP-fucose protein O-fucosyltransferase 2 |
| Supplier: | Atlas Antibodies |
| Supplier-Nr: | HPA044297 |
Properties
| Application: | IHC |
| Antibody Type: | Polyclonal |
| Conjugate: | No |
| Host: | Rabbit |
| Species reactivity: | human |
| Immunogen: | Recombinant Protein Epitope Signature Tag (PrEST) antigen sequence: PEGFNLRRDV YIRIASLLKT LLKTEEWVLV LPPWGRLYHW QSPDIHQVRI PWSEFFDLPS LNKNIPVIEY EQFIAESGGP FIDQVYVLQS YAEGWKEGTW EEKVDERPCI DQLLY (ATA-APrEST72646) |
Database Information
| KEGG ID : | K03691 | Matching products |
| UniProt ID : | Q9Y2G5 | Matching products |
| Gene ID : | GeneID 23275 | Matching products |
| Protein Atlas Nr. : | ENSG00000186866 |
Handling & Safety
| Storage: | -20°C |
| Shipping: | +20°C (International: +20°C) |
Caution
Our products are for laboratory research use only: Not for administration to humans!
Our products are for laboratory research use only: Not for administration to humans!
Information about the product reference will follow.
more
You will get a certificate here
Viewed