Cookie preferences
This website uses cookies, which are necessary for the technical operation of the website and are always set. Other cookies, which increase the comfort when using this website, are used for direct advertising or to facilitate interaction with other websites and social networks, are only set with your consent.
Configuration
Technically required
These cookies are necessary for the basic functions of the shop.
"Allow all cookies" cookie
"Decline all cookies" cookie
CSRF token
Cookie preferences
Currency change
Customer-specific caching
FACT-Finder tracking
Individual prices
Selected shop
Session
Comfort functions
These cookies are used to make the shopping experience even more appealing, for example for the recognition of the visitor.
Note
Show the facebook fanpage in the right blod sidebar
Statistics & Tracking
Affiliate program
Conversion and usertracking via Google Tag Manager
Track device being used
| Item number | Size | Datasheet | Manual | SDS | Delivery time | Quantity | Price |
|---|---|---|---|---|---|---|---|
| NSJ-RQ7056 | 100 µg | - | - |
3 - 10 business days* |
790.00€
|
If you have any questions, please use our Contact Form.
You can also order by e-mail: info@biomol.com
Larger quantity required? Request bulk
You can also order by e-mail: info@biomol.com
Larger quantity required? Request bulk
0.5mg/ml if reconstituted with 0.2ml sterile DI water. Proteolipid protein 2 is a protein that in... more
Product information "Anti-PLP2 / Proteolipid protein 2"
0.5mg/ml if reconstituted with 0.2ml sterile DI water. Proteolipid protein 2 is a protein that in humans is encoded by the PLP2 gene. This gene encodes an integral membrane protein that localizes to the endoplasmic reticulum in colonic epithelial cells. The encoded protein can multimerize and may function as an ion channel. A polymorphism in the promoter of this gene may be linked to an increased risk of X-linked cognitive disability. A pseudogene of this gene is found on chromosome 5. Protein function: May play a role in cell differentiation in the intestinal epithelium. [The UniProt Consortium]
| Keywords: | Anti-A4, Anti-PLP2, Anti-Proteolipid protein 2, Anti-Intestinal membrane A4 protein, Anti-Differentiation-dependent protein A4, PLP2 Antibody / Proteolipid protein 2 |
| Supplier: | NSJ Bioreagents |
| Supplier-Nr: | RQ7056 |
Properties
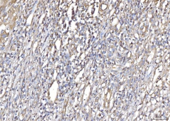
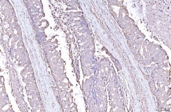
| Application: | WB, IHC (paraffin), FC, Direct ELISA |
| Antibody Type: | Polyclonal |
| Conjugate: | No |
| Host: | Rabbit |
| Species reactivity: | human |
| Immunogen: | Recombinant human protein (amino acids N18-V152) |
| Format: | Adhesion & Structure |
Database Information
| UniProt ID : | Q04941 | Matching products |
| Gene ID : | GeneID 5355 | Matching products |
Handling & Safety
| Storage: | +4°C |
| Shipping: | +4°C (International: +4°C) |
Caution
Our products are for laboratory research use only: Not for administration to humans!
Our products are for laboratory research use only: Not for administration to humans!
Information about the product reference will follow.
more
You will get a certificate here
Viewed