Cookie preferences
This website uses cookies, which are necessary for the technical operation of the website and are always set. Other cookies, which increase the comfort when using this website, are used for direct advertising or to facilitate interaction with other websites and social networks, are only set with your consent.
Configuration
Technically required
These cookies are necessary for the basic functions of the shop.
"Allow all cookies" cookie
"Decline all cookies" cookie
CSRF token
Cookie preferences
Currency change
Customer-specific caching
FACT-Finder tracking
Individual prices
Selected shop
Session
Comfort functions
These cookies are used to make the shopping experience even more appealing, for example for the recognition of the visitor.
Note
Show the facebook fanpage in the right blod sidebar
Statistics & Tracking
Affiliate program
Conversion and usertracking via Google Tag Manager
Track device being used
| Item number | Size | Datasheet | Manual | SDS | Delivery time | Quantity | Price |
|---|---|---|---|---|---|---|---|
| NSJ-FY12877 | 100 µg | - | - |
3 - 10 business days* |
790.00€
|
If you have any questions, please use our Contact Form.
You can also order by e-mail: info@biomol.com
Larger quantity required? Request bulk
You can also order by e-mail: info@biomol.com
Larger quantity required? Request bulk
Adding 0.2 ml of distilled water will yield a concentration of 500 ug/ml. PLAAT4 antibody detects... more
Product information "Anti-PLAAT4 / RARRES3"
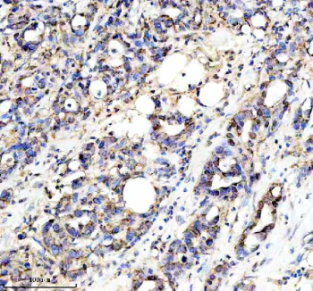
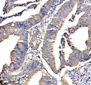
Adding 0.2 ml of distilled water will yield a concentration of 500 ug/ml. PLAAT4 antibody detects Phospholipase A and acyltransferase 4, also known as Retinoic acid receptor responder protein 3 (RARRES3), a multifunctional enzyme involved in lipid metabolism, immune regulation, and tumor suppression. Encoded by the PLAAT4 gene on chromosome 11q23.3, this protein belongs to the phospholipase A/acyltransferase family and is induced by retinoic acid signaling. PLAAT4 hydrolyzes membrane phospholipids and transfers acyl chains to form lysophospholipids and neutral lipids, influencing lipid signaling and membrane remodeling.Structurally, PLAAT4 is an approximately 18 kilodalton enzyme localized to the endoplasmic reticulum and Golgi membranes. It contains a conserved catalytic dyad characteristic of the NlpC/P60 thiol protease superfamily, which mediates both phospholipase A and acyltransferase activities. Through its dual enzymatic function, PLAAT4 regulates cellular lipid composition, affecting membrane curvature, vesicle trafficking, and immune response modulation. Its expression is upregulated by retinoic acid and interferons, suggesting a role in antiviral defense and differentiation control.The PLAAT4 antibody is widely used in cancer biology, immunology, and lipid signaling research to study retinoid-responsive pathways and lipid remodeling. Western blot analysis identifies a band at approximately 18 kilodaltons corresponding to PLAAT4, while immunofluorescence reveals perinuclear and vesicular localization consistent with endoplasmic reticulum distribution. This antibody enables investigation of how lipid hydrolysis and acylation influence inflammatory signaling and cellular differentiation.Functionally, PLAAT4 acts as a tumor suppressor by antagonizing the Wnt/beta-catenin pathway, suppressing proliferation, and promoting differentiation in epithelial tissues. It also participates in the interferon-mediated antiviral response, where its enzymatic products help modulate viral replication and immune activation. In lipid metabolism, PLAAT4 contributes to the synthesis of signaling lipids that regulate inflammation and apoptosis. Dysregulation or loss of PLAAT4 expression has been observed in cancers such as breast and colorectal carcinoma, linking it to impaired retinoid signaling and altered lipid homeostasis. The PLAAT4 antibody provides a reliable reagent for exploring these cellular processes and identifying therapeutic targets in retinoid and immune pathways. NSJ Bioreagents validates this antibody for its applications, ensuring dependable detection in lipid and immune signaling studies.
| Keywords: | Anti-PLAAT4, Anti-HRAS-like suppressor 4, Anti-RAR-responsive protein TIG3, Anti-Retinoid-inducible gene 1 protein, Anti-Tazarotene-induced gene 3 protein, Anti-Phospholipase A and acyltransferase 4, Anti-Retinoic acid receptor responder protein 3, PLAAT4 |
| Supplier: | NSJ Bioreagents |
| Supplier-Nr: | FY12877 |
Properties
| Application: | WB, IHC, ICC/IF, ELISA |
| Antibody Type: | Polyclonal |
| Conjugate: | No |
| Host: | Rabbit |
| Species reactivity: | human, mouse, rat |
| Immunogen: | E.coli-derived human RARRES3/PLAAT4 recombinant protein (Position: M1-K124) |
| Format: | Purified |
Database Information
| KEGG ID : | K23266 | Matching products |
| UniProt ID : | Q9UL19 | Matching products |
| Gene ID : | GeneID 5920 | Matching products |
Handling & Safety
| Storage: | +4°C |
| Shipping: | +4°C (International: +4°C) |
Caution
Our products are for laboratory research use only: Not for administration to humans!
Our products are for laboratory research use only: Not for administration to humans!
Information about the product reference will follow.
more
You will get a certificate here
Viewed