Cookie preferences
This website uses cookies, which are necessary for the technical operation of the website and are always set. Other cookies, which increase the comfort when using this website, are used for direct advertising or to facilitate interaction with other websites and social networks, are only set with your consent.
Configuration
Technically required
These cookies are necessary for the basic functions of the shop.
"Allow all cookies" cookie
"Decline all cookies" cookie
CSRF token
Cookie preferences
Currency change
Customer-specific caching
FACT-Finder tracking
Individual prices
Selected shop
Session
Comfort functions
These cookies are used to make the shopping experience even more appealing, for example for the recognition of the visitor.
Note
Show the facebook fanpage in the right blod sidebar
Statistics & Tracking
Affiliate program
Conversion and usertracking via Google Tag Manager
Track device being used
| Item number | Size | Datasheet | Manual | SDS | Delivery time | Quantity | Price |
|---|---|---|---|---|---|---|---|
| NSJ-RQ4693 | 100 µl | - | - |
3 - 10 business days* |
790.00€
|
If you have any questions, please use our Contact Form.
You can also order by e-mail: info@biomol.com
Larger quantity required? Request bulk
You can also order by e-mail: info@biomol.com
Larger quantity required? Request bulk
Antibody in PBS with 0.02% sodium azide, 50% glycerol and 0.4-0.5mg/ml BSA. Phosphatidylinositol... more
Product information "Anti-PI3K (p85 beta) / PIK3R2, clone EOH-16"
Antibody in PBS with 0.02% sodium azide, 50% glycerol and 0.4-0.5mg/ml BSA. Phosphatidylinositol 3-kinase (PI3K) is a lipid kinase that phosphorylates phosphatidylinositol and similar compounds, creating second messengers important in growth signaling pathways. PI3K functions as a heterodimer of a regulatory and a catalytic subunit. [RefSeq] Protein function: Regulatory subunit of phosphoinositide-3-kinase (PI3K), a kinase that phosphorylates PtdIns(4,5)P2 (Phosphatidylinositol 4,5- bisphosphate) to generate phosphatidylinositol 3,4,5-trisphosphate (PIP3). PIP3 plays a key role by recruiting PH domain-containing proteins to the membrane, including AKT1 and PDPK1, activating signaling cascades involved in cell growth, survival, proliferation, motility and morphology. Binds to activated (phosphorylated) protein- tyrosine kinases, through its SH2 domain, and acts as an adapter, mediating the association of the p110 catalytic unit to the plasma membrane. Indirectly regulates autophagy (PubMed:23604317). Promotes nuclear translocation of XBP1 isoform 2 in a ER stress- and/or insulin- dependent manner during metabolic overloading in the liver and hence plays a role in glucose tolerance improvement. [The UniProt Consortium]
| Keywords: | Anti-PIK3R2, Anti-PI3-kinase subunit p85-beta, Anti-PI3K regulatory subunit beta, Anti-PI3-kinase regulatory subunit beta, Anti-PtdIns-3-kinase regulatory subunit beta, Anti-PtdIns-3-kinase regulatory subunit p85-beta, PI3K Antibody (p85 beta) / PIK3R2 |
| Supplier: | NSJ Bioreagents |
| Supplier-Nr: | RQ4693 |
Properties
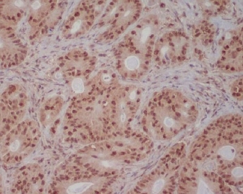
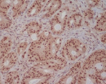
| Application: | IHC (paraffin), WB |
| Antibody Type: | Monoclonal |
| Clone: | EOH-16 |
| Conjugate: | No |
| Host: | Rabbit |
| Species reactivity: | human |
| Immunogen: | A synthetic peptide specific to human PI 3 Kinase p85 beta |
| Format: | Purified |
Database Information
| KEGG ID : | K02649 | Matching products |
| UniProt ID : | O00459 | Matching products |
| Gene ID : | GeneID 5296 | Matching products |
Handling & Safety
| Storage: | -20°C |
| Shipping: | -20°C (International: -20°C) |
Caution
Our products are for laboratory research use only: Not for administration to humans!
Our products are for laboratory research use only: Not for administration to humans!
Information about the product reference will follow.
more
You will get a certificate here
Viewed