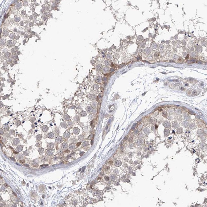
Anti-PHF20L1

Item number Size Datasheet Manual SDS Delivery time Quantity Price
ATA-HPA028417.25 25 µl -

7 - 10 business days*

246.00€
ATA-HPA028417.100 100 µl -

7 - 10 business days*

491.00€
 
Buffer: 40% glycerol and PBS (pH 7.2). 0.02% sodium azide is added as preservative. Highest... more
Product information "Anti-PHF20L1"
Buffer: 40% glycerol and PBS (pH 7.2). 0.02% sodium azide is added as preservative. Highest antigen sequence identity to mouse: 83% and to rat: 82%
Keywords: Anti-CGI-72, Anti-PHF20L1, Anti-PHD finger protein 20-like protein 1
Supplier: Atlas Antibodies
Supplier-Nr: HPA028417

Properties

Application: ICC, IHC
Antibody Type: Polyclonal
Conjugate: No
Host: Rabbit
Species reactivity: human
Immunogen: Recombinant Protein Epitope Signature Tag (PrEST) antigen sequence: EETSTCIATP DVEKKEDLPT SSETFGLHVE NVPKMVFPQP ESTLSNKRKN NQGNSFQAKR ARLNKITGLL ASKAVGVDGA EKKEDYNETA (ATA-APrEST76232)

Database Information

KEGG ID : K18402 | Matching products
UniProt ID : A8MW92 | Matching products
Gene ID : GeneID 51105 | Matching products
Protein Atlas Nr. : ENSG00000129292

Handling & Safety

Storage: -20°C
Shipping: +20°C (International: +20°C)
Caution
Our products are for laboratory research use only: Not for administration to humans!
You will get a certificate here
or to request a certificate of analysis.
Read, write and discuss reviews... more
Customer review for "Anti-PHF20L1"
Write a review
or to review a product.
Viewed