Cookie preferences
This website uses cookies, which are necessary for the technical operation of the website and are always set. Other cookies, which increase the comfort when using this website, are used for direct advertising or to facilitate interaction with other websites and social networks, are only set with your consent.
Configuration
Technically required
These cookies are necessary for the basic functions of the shop.
"Allow all cookies" cookie
"Decline all cookies" cookie
CSRF token
Cookie preferences
Currency change
Customer-specific caching
FACT-Finder tracking
Individual prices
Selected shop
Session
Comfort functions
These cookies are used to make the shopping experience even more appealing, for example for the recognition of the visitor.
Note
Show the facebook fanpage in the right blod sidebar
Statistics & Tracking
Affiliate program
Conversion and usertracking via Google Tag Manager
Track device being used
| Item number | Size | Datasheet | Manual | SDS | Delivery time | Quantity | Price |
|---|---|---|---|---|---|---|---|
| ATA-HPA006155.25 | 25 µl | - |
7 - 10 business days* |
330.00€
|
|||
| ATA-HPA006155.100 | 100 µl | - |
7 - 10 business days* |
463.00€
|
If you have any questions, please use our Contact Form.
You can also order by e-mail: info@biomol.com
Larger quantity required? Request bulk
You can also order by e-mail: info@biomol.com
Larger quantity required? Request bulk
Protein function: A scaffold protein that connects plasma membrane proteins and regulatory... more
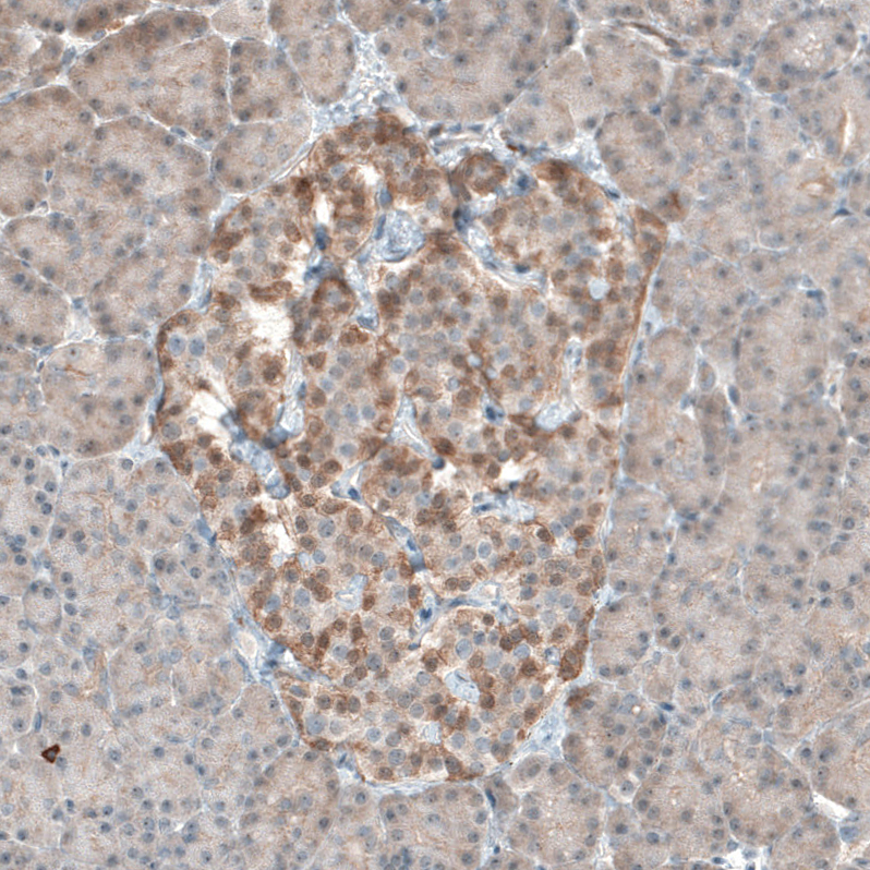
Product information "Anti-PDZK1"
Protein function: A scaffold protein that connects plasma membrane proteins and regulatory components, regulating their surface expression in epithelial cells apical domains. May be involved in the coordination of a diverse range of regulatory processes for ion transport and second messenger cascades. In complex with SLC9A3R1, may cluster proteins that are functionally dependent in a mutual fashion and modulate the trafficking and the activity of the associated membrane proteins. May play a role in the cellular mechanisms associated with multidrug resistance through its interaction with ABCC2 and PDZK1IP1. May potentiate the CFTR chloride channel activity. Required for normal cell-surface expression of SCARB1. Plays a role in maintaining normal plasma cholesterol levels via its effects on SCARB1. Plays a role in the normal localization and function of the chloride-anion exchanger SLC26A6 to the plasma membrane in the brush border of the proximal tubule of the kidney. May be involved in the regulation of proximal tubular Na(+)-dependent inorganic phosphate cotransport therefore playing an important role in tubule function. [The UniProt Consortium] Buffer: 40% glycerol and PBS (pH 7.2). 0.02% sodium azide is added as preservative. Highest antigen sequence identity to mouse: 91% and to rat: 92%
| Keywords: | Anti-CAP70, Anti-PDZK1, Anti-NHERF-3, Anti-NaPi-Cap1, Anti-PDZ domain-containing protein 1, Anti-CFTR-associated protein of 70 kDa, Anti-Na(+)/H(+) exchanger regulatory factor 3, Anti-Sodium-hydrogen exchanger regulatory factor 3 |
| Supplier: | Atlas Antibodies |
| Supplier-Nr: | HPA006155 |
Properties
| Application: | ICC, IHC, WB |
| Antibody Type: | Polyclonal |
| Conjugate: | No |
| Host: | Rabbit |
| Species reactivity: | human, mouse, rat |
| Immunogen: | Recombinant Protein Epitope Signature Tag (PrEST) antigen sequence: MTSTFNPREC KLSKQEGQNY GFFLRIEKDT EGHLVRVVEK CSPAEKAGLQ DGDRVLRING VFVDKEEHMQ VVDLVRKSGN SVTLLVLDGD SYEKAV (ATA-APrEST70275) |
Database Information
| KEGG ID : | K24057 | Matching products |
| UniProt ID : | Q5T2W1 | Matching products |
| Gene ID : | GeneID 5174 | Matching products |
| Protein Atlas Nr. : | ENSG00000174827 |
Handling & Safety
| Storage: | -20°C |
| Shipping: | +20°C (International: +20°C) |
Caution
Our products are for laboratory research use only: Not for administration to humans!
Our products are for laboratory research use only: Not for administration to humans!
Information about the product reference will follow.
more
You will get a certificate here
Viewed