Anti-PARP-1/PARP Monoclonal Antibody

Item number Size Datasheet Manual SDS Delivery time Quantity Price
E-AN200038P.100 100 µl -

7 - 16 business days*

389.00€
 
This gene encodes a chromatin-associated enzyme, poly(ADP-ribosyl)transferase, which modifies... more
Product information "Anti-PARP-1/PARP Monoclonal Antibody"
This gene encodes a chromatin-associated enzyme, poly(ADP-ribosyl)transferase, which modifies various nuclear proteins by poly(ADP-ribosyl)ation. The modification is dependent on DNA and is involved in the regulation of various important cellular processes such as differentiation, proliferation, and tumor transformation and also in the regulation of the molecular events involved in the recovery of cell from DNA damage. In addition, this enzyme may be the site of mutation in Fanconi anemia, and may participate in the pathophysiology of type I diabetes. Protein function: Poly-ADP-ribosyltransferase that mediates poly-ADP- ribosylation of proteins and plays a key role in DNA repair (PubMed:17177976, PubMed:18055453, PubMed:18172500, PubMed:19344625, PubMed:19661379, PubMed:20388712, PubMed:21680843, PubMed:22582261, PubMed:23230272, PubMed:25043379, PubMed:26344098, PubMed:26626479, PubMed:26626480, PubMed:30104678, PubMed:31796734, PubMed:32028527, PubMed:32241924, PubMed:32358582, PubMed:33186521, PubMed:34465625, PubMed:34737271). Mediates glutamate, aspartate, serine, histidine or tyrosine ADP-ribosylation of proteins: the ADP-D-ribosyl group of NAD(+) is transferred to the acceptor carboxyl group of target residues and further ADP-ribosyl groups are transferred to the 2'-position of the terminal adenosine moiety, building up a polymer with an average chain length of 20-30 units (PubMed:19764761, PubMed:25043379, PubMed:28190768, PubMed:29954836, PubMed:35393539, PubMed:7852410, PubMed:9315851). Serine ADP-ribosylation of proteins constitutes the primary form of ADP-ribosylation of proteins in response to DNA damage (PubMed:33186521, PubMed:34874266). Specificity for the different amino acids is conferred by interacting factors, such as HPF1 and NMNAT1 (PubMed:28190768, PubMed:29954836, PubMed:32028527, PubMed:33186521, PubMed:33589610, PubMed:34625544, PubMed:34874266). Following interaction with HPF1, catalyzes serine ADP-ribosylation of target proteins, HPF1 confers serine specificity by completing the PARP1 active site (PubMed:28190768, PubMed:29954836, PubMed:32028527, PubMed:33186521, PubMed:33589610, PubMed:34625544, PubMed:34874266). Also catalyzes tyrosine ADP-ribosylation of target proteins following interaction with HPF1 (PubMed:29954836, PubMed:30257210). Following interaction with NMNAT1, catalyzes glutamate and aspartate ADP- ribosylation of target proteins, NMNAT1 confers glutamate and aspartate specificity. PARP1 initiates the repair of DNA breaks: recognizes and binds DNA breaks within chromatin and recruits HPF1, licensing serine ADP-ribosylation of target proteins, such as histones (H2BS6ADPr and H3S10ADPr), thereby promoting decompaction of chromatin and the recruitment of repair factors leading to the reparation of DNA strand breaks (PubMed:17177976, PubMed:18172500, PubMed:19344625, PubMed:19661379, PubMed:23230272, PubMed:27067600, PubMed:34465625, PubMed:34874266). HPF1 initiates serine ADP-ribosylation but restricts the polymerase activity of PARP1 in order to limit the length of poly- ADP-ribose chains (PubMed:33683197, PubMed:34732825, PubMed:34795260). In addition to base excision repair (BER) pathway, also involved in double-strand breaks (DSBs) repair: together with TIMELESS, accumulates at DNA damage sites and promotes homologous recombination repair by mediating poly-ADP-ribosylation (PubMed:26344098, PubMed:30356214). Mediates the poly-ADP-ribosylation of a number of proteins, including itself, APLF, CHFR, RPA1 and NFAT5 (PubMed:17396150, PubMed:19764761, PubMed:24906880, PubMed:34049076). In addition to proteins, also able to ADP-ribosylate DNA: catalyzes ADP-ribosylation of DNA strand break termini containing terminal phosphates and a 2'-OH group in single- and double-stranded DNA, respectively (PubMed:27471034). Required for PARP9 and DTX3L recruitment to DNA damage sites (PubMed:23230272). PARP1- dependent PARP9-DTX3L-mediated ubiquitination promotes the rapid and specific recruitment of 53BP1/TP53BP1, UIMC1/RAP80, and BRCA1 to DNA damage sites (PubMed:23230272). PARP1-mediated DNA repair in neurons plays a role in sleep: senses DNA damage in neurons and promotes sleep, facilitating efficient DNA repair. In addition to DNA repair, also involved in other processes, such as transcription regulation, programmed cell death, membrane repair, adipogenesis and innate immunity (PubMed:15607977, PubMed:17177976, PubMed:19344625, PubMed:27256882, PubMed:32315358, PubMed:32844745, PubMed:35124853, PubMed:35393539, PubMed:35460603). Acts as a repressor of transcription: binds to nucleosomes and modulates chromatin structure in a manner similar to histone H1, thereby altering RNA polymerase II (PubMed:15607977, PubMed:22464733). Acts both as a positive and negative regulator of transcription elongation, depending on the context (PubMed:27256882, PubMed:35393539). Acts as a positive regulator of transcription elongation by mediating poly-ADP- ribosylation of NELFE, preventing RNA-binding activity of NELFE and relieving transcription pausing (PubMed:27256882). Acts as a negative regulator of transcription elongation in response to DNA damage by catalyzing poly-ADP-ribosylation of CCNT1, disrupting the phase separation activity of CCNT1 and subsequent activation of CDK9 (PubMed:35393539). Involved in replication fork progression following interaction with CARM1: mediates poly-ADP-ribosylation at replication forks, slowing fork progression (PubMed:33412112). Poly-ADP-ribose chains generated by PARP1 also play a role in poly-ADP-ribose-dependent cell death, a process named parthanatos. Also acts as a negative regulator of the cGAS-STING pathway (PubMed:32315358, PubMed:32844745, PubMed:35460603). Acts by mediating poly-ADP- ribosylation of CGAS: PARP1 translocates into the cytosol following phosphorylation by PRKDC and catalyzes poly-ADP-ribosylation and inactivation of CGAS (PubMed:35460603). Acts as a negative regulator of adipogenesis: catalyzes poly-ADP-ribosylation of histone H2B on 'Glu- 35' (H2BE35ADPr) following interaction with NMNAT1, inhibiting phosphorylation of H2B at 'Ser-36' (H2BS36ph), thereby blocking expression of pro-adipogenetic genes. Involved in the synthesis of ATP in the nucleus, together with NMNAT1, PARG and NUDT5 (PubMed:27257257). Nuclear ATP generation is required for extensive chromatin remodeling events that are energy-consuming (PubMed:27257257). [The UniProt Consortium]
Supplier: Elabscience
Supplier-Nr: E-AN200038P

Properties

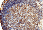
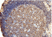
Application: WB, IHC (paraffin), IP
Antibody Type: Monoclonal
Clone: 12G6
Conjugate: No
Host: Mouse
Species reactivity: human
Immunogen: Recombinant Human PARP-1 / PARP protein
Format: Purified

Handling & Safety

Storage: +4°C (avoid repeat freezing and thawing cycles)
Shipping: +4°C (International: +4°C)
Signal Word: Warning
GHS Hazard Pictograms:
H Phrases: H317
P Phrases: P261, P272, P280, P302+352, P333+313
Caution
Our products are for laboratory research use only: Not for administration to humans!
You will get a certificate here
or to request a certificate of analysis.
Read, write and discuss reviews... more
Customer review for "Anti-PARP-1/PARP Monoclonal Antibody"
Write a review
or to review a product.
Viewed