Anti-PABPN1 / Polyadenylate-binding protein 2

Item number Size Datasheet Manual SDS Delivery time Quantity Price
NSJ-FY12099 100 µg - -

3 - 10 business days*

790.00€
 
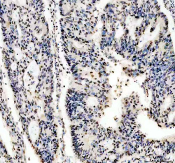
Adding 0.2 ml of distilled water will yield a concentration of 500 ug/ml. PABPN1 antibody detects... more
Product information "Anti-PABPN1 / Polyadenylate-binding protein 2"
Adding 0.2 ml of distilled water will yield a concentration of 500 ug/ml. PABPN1 antibody detects Polyadenylate-binding protein 2, encoded by the PABPN1 gene. Polyadenylate-binding protein 2 is a nuclear protein that binds to the poly(A) tail of RNA and regulates mRNA processing, stability, and translation. PABPN1 antibody provides researchers with a critical reagent for studying RNA metabolism, gene expression, and human disease associated with RNA dysregulation.Polyadenylate-binding protein 2 is essential for the regulation of poly(A) tail length and stability of nuclear transcripts. Research using PABPN1 antibody has shown that it stimulates poly(A) polymerase activity and ensures that poly(A) tails reach optimal length for nuclear export and translation. By binding RNA, PABPN1 prevents premature deadenylation and degradation, thereby safeguarding mRNA function.Studies with PABPN1 antibody have revealed that mutations in PABPN1 cause oculopharyngeal muscular dystrophy, a late-onset muscle disorder characterized by progressive weakness of eyelid, pharyngeal, and proximal limb muscles. The disease results from short expansions of a GCN trinucleotide repeat in the gene, which cause protein aggregation and dysfunction. This clinical connection underscores the importance of PABPN1 in human health.Beyond muscular dystrophy, research using PABPN1 antibody has shown that the protein regulates alternative polyadenylation, influencing transcript diversity and gene expression patterns. Dysregulation of polyadenylation contributes to cancer, neurodegeneration, and developmental disorders, making PABPN1 a key factor in RNA biology.PABPN1 antibody is widely applied in western blotting, immunohistochemistry, and RNA immunoprecipitation. Western blotting quantifies protein levels in muscle and brain tissue, immunohistochemistry demonstrates nuclear localization, and RNA immunoprecipitation identifies target transcripts. These applications make PABPN1 antibody indispensable for RNA processing research.By providing validated PABPN1 antibody reagents, NSJ Bioreagents supports studies into polyadenylation, muscular dystrophy, and RNA regulation. Detection of Polyadenylate-binding protein 2 provides researchers with insight into how nuclear RNA-binding proteins regulate transcript stability and disease.
Keywords: Anti-PABPN1, Anti-Poly(A)-binding protein II, Anti-Polyadenylate-binding protein 2, Anti-Nuclear poly(A)-binding protein 1, Anti-Polyadenylate-binding nuclear protein 1, PABPN1 Antibody / Polyadenylate-binding protein 2
Supplier: NSJ Bioreagents
Supplier-Nr: FY12099

Properties

Application: WB, IHC, IF, ICC/IF, IP, FC
Antibody Type: Polyclonal
Conjugate: No
Host: Rabbit
Species reactivity: human, mouse, rat
Immunogen: A synthetic peptide corresponding to a sequence in the middle region of human PABPN1
Format: Purified

Handling & Safety

Storage: +4°C
Shipping: +4°C (International: +4°C)
Caution
Our products are for laboratory research use only: Not for administration to humans!
You will get a certificate here
or to request a certificate of analysis.
Read, write and discuss reviews... more
Customer review for "Anti-PABPN1 / Polyadenylate-binding protein 2"
Write a review
or to review a product.
Viewed