Cookie preferences
This website uses cookies, which are necessary for the technical operation of the website and are always set. Other cookies, which increase the comfort when using this website, are used for direct advertising or to facilitate interaction with other websites and social networks, are only set with your consent.
Configuration
Technically required
These cookies are necessary for the basic functions of the shop.
"Allow all cookies" cookie
"Decline all cookies" cookie
CSRF token
Cookie preferences
Currency change
Customer-specific caching
FACT-Finder tracking
Individual prices
Selected shop
Session
Comfort functions
These cookies are used to make the shopping experience even more appealing, for example for the recognition of the visitor.
Note
Show the facebook fanpage in the right blod sidebar
Statistics & Tracking
Affiliate program
Conversion and usertracking via Google Tag Manager
Track device being used
| Item number | Size | Datasheet | Manual | SDS | Delivery time | Quantity | Price |
|---|---|---|---|---|---|---|---|
| NSJ-V2304-20UG | 20 µg | - | - |
3 - 10 business days* |
375.00€
|
||
| NSJ-V2304-100UG | 100 µg | - | - |
3 - 10 business days* |
810.00€
|
If you have any questions, please use our Contact Form.
You can also order by e-mail: info@biomol.com
Larger quantity required? Request bulk
You can also order by e-mail: info@biomol.com
Larger quantity required? Request bulk
0.2 mg/ml with 0.1 mg/ml BSA (US sourced), 0.05% sodium azide. p40 (p63 delta) is a marker... more
Product information "Anti-p40"
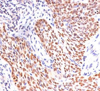
0.2 mg/ml with 0.1 mg/ml BSA (US sourced), 0.05% sodium azide. p40 (p63 delta) is a marker recently determined to be highly specific for squamous basal cells in the immunohistochemistry (IHC) application. The current more routinely recommended marker, p63, appears to have less specificity compared to p40, especially on squamous cell tumors. The ability to differentiate between lung adenocarcinoma vs. squamous cell carcinoma is difficult and has bearing on the different therapeutic avenues for each subtype treatment. p63 antibodyÆs ability to distinguish between the tumor types appears to be inferior when compared to p40. The ability to utilize an antibody probe for p40 as a squamous cell marker bolsters its use for future sub-classification of lung cancers, especially by immunohistochemical techniques. Protein function: Acts as a sequence specific DNA binding transcriptional activator or repressor. The isoforms contain a varying set of transactivation and auto-regulating transactivation inhibiting domains thus showing an isoform specific activity. Isoform 2 activates RIPK4 transcription. May be required in conjunction with TP73/p73 for initiation of p53/TP53 dependent apoptosis in response to genotoxic insults and the presence of activated oncogenes. Involved in Notch signaling by probably inducing JAG1 and JAG2. Plays a role in the regulation of epithelial morphogenesis. The ratio of DeltaN-type and TA*-type isoforms may govern the maintenance of epithelial stem cell compartments and regulate the initiation of epithelial stratification from the undifferentiated embryonal ectoderm. Required for limb formation from the apical ectodermal ridge. Activates transcription of the p21 promoter. [The UniProt Consortium]
| Keywords: | Anti-p63, Anti-KET, Anti-p40, Anti-p51, Anti-CUSP, Anti-TP63, Anti-p73L, Anti-Tumor protein 63, Anti-Tumor protein p73-like, Anti-Transformation-related protein 63, Anti-Keratinocyte transcription factor KET, Anti-Chronic ulcerative stomatitis protein, p4 |
| Supplier: | NSJ Bioreagents |
| Supplier-Nr: | V2304 |
Properties
| Application: | WB, FC, IHC, IP, IF |
| Antibody Type: | Polyclonal |
| Conjugate: | No |
| Host: | Rabbit |
| Species reactivity: | human, mouse, rat, bovine |
| Immunogen: | A synthetic peptide (ENNAQTQFSEPQY) corresponding to aa 5-17 of human p40 / p63 delta was used as the immunogen for this antibody. |
| Format: | Purified |
Database Information
| KEGG ID : | K10149 | Matching products |
| UniProt ID : | Q9H3D4 | Matching products |
| Gene ID : | GeneID 8626 | Matching products |
Handling & Safety
| Storage: | +4°C |
| Shipping: | +4°C (International: +4°C) |
Caution
Our products are for laboratory research use only: Not for administration to humans!
Our products are for laboratory research use only: Not for administration to humans!
Information about the product reference will follow.
more
You will get a certificate here
Viewed