Cookie preferences
This website uses cookies, which are necessary for the technical operation of the website and are always set. Other cookies, which increase the comfort when using this website, are used for direct advertising or to facilitate interaction with other websites and social networks, are only set with your consent.
Configuration
Technically required
These cookies are necessary for the basic functions of the shop.
"Allow all cookies" cookie
"Decline all cookies" cookie
CSRF token
Cookie preferences
Currency change
Customer-specific caching
FACT-Finder tracking
Individual prices
Selected shop
Session
Comfort functions
These cookies are used to make the shopping experience even more appealing, for example for the recognition of the visitor.
Note
Show the facebook fanpage in the right blod sidebar
Statistics & Tracking
Affiliate program
Conversion and usertracking via Google Tag Manager
Track device being used
| Item number | Size | Datasheet | Manual | SDS | Delivery time | Quantity | Price |
|---|---|---|---|---|---|---|---|
| NEO-1026-MSM2-P1ABX | 100 µg | - | - |
Request delivery time estimate |
704.00€
|
If you have any questions, please use our Contact Form.
You can also order by e-mail: info@biomol.com
Larger quantity required? Request bulk
You can also order by e-mail: info@biomol.com
Larger quantity required? Request bulk
Formulation: Purified Ab WITHOUT BSA and Azide at 1.0mg/ml. Cellular Localization: Cytoplasm,... more
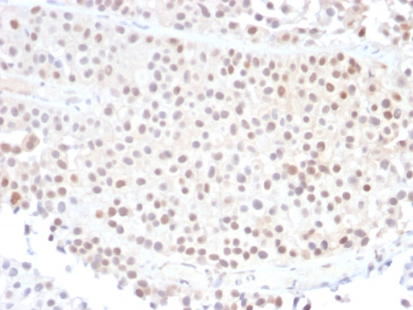
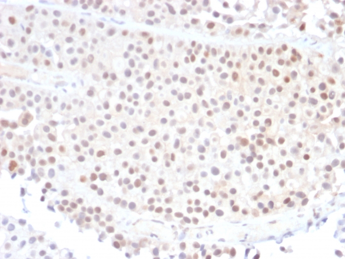
Product information "Anti-p21WAF1 (Tumor Suppressor Protein), clone DCS-60.2"
Formulation: Purified Ab WITHOUT BSA and Azide at 1.0mg/ml. Cellular Localization: Cytoplasm, Nucleus. Positive Control: colon or breast carcinoma., HeLa cells. Human skin. Chromosome Location: 6p21.31. Protein Function: Plays an important role in controlling cell cycle progression and DNA damage-induced G2 arrest (PubMed:9106657). Involved in p53/TP53 mediated inhibition of cellular proliferation in response to DNA damage. Also involved in p53-independent DNA damage-induced G2 arrest mediated by CREB3L1 in astrocytes and osteoblasts (By similarity). Binds to and inhibits cyclin-dependent kinase activity, preventing phosphorylation of critical cyclin-dependent kinase substrates and blocking cell cycle progression. Functions in the nuclear localization and assembly of cyclin D-CDK4 complex and promotes its kinase activity towards RB1. At higher stoichiometric ratios, inhibits the kinase activity of the cyclin D-CDK4 complex. Inhibits DNA synthesis by DNA polymerase delta by competing with POLD3 for PCNA binding (PubMed:11595739). Negatively regulates the CDK4- and CDK6-driven phosphorylation of RB1 in keratinocytes, thereby resulting in the release of E2F1 and subsequent transcription of E2F1-driven G1/S phase promoting genes (By similarity) [The Uniprot Consortium]
| Keywords: | Anti-p21, Anti-CDKN1A, Anti-CDK-interacting protein 1, Anti-Cyclin-dependent kinase inhibitor 1, Anti-Melanoma differentiation-associated protein 6, 559 |
| Supplier: | NeoBiotechnologies |
| Supplier-Nr: | 1026-MSM2ABX |
Properties
| Application: | FC, IF, IHC, WB |
| Antibody Type: | Monoclonal |
| Clone: | DCS-60.2 |
| Conjugate: | No |
| Host: | Mouse |
| Species reactivity: | human |
| MW: | 21 kD |
| Format: | Purified |
Database Information
| KEGG ID : | K06625 | Matching products |
| UniProt ID : | P38936 | Matching products |
| Gene ID : | GeneID 1026 | Matching products |
Handling & Safety
| Storage: | -20°C |
| Shipping: | +4°C (International: +4°C) |
Caution
Our products are for laboratory research use only: Not for administration to humans!
Our products are for laboratory research use only: Not for administration to humans!
You will get a certificate here
Viewed