Anti-NR1D1 / Nuclear receptor subfamily 1 group D member 1

Item number Size Datasheet Manual SDS Delivery time Quantity Price
NSJ-FY12968 100 µg - -

3 - 10 business days*

790.00€
 
Adding 0.2 ml of distilled water will yield a concentration of 500 ug/ml. NR1D1 antibody detects... more
Product information "Anti-NR1D1 / Nuclear receptor subfamily 1 group D member 1"
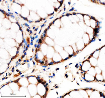
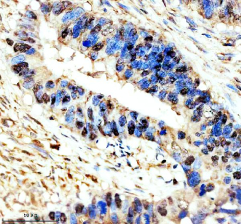
Adding 0.2 ml of distilled water will yield a concentration of 500 ug/ml. NR1D1 antibody detects Nuclear receptor subfamily 1 group D member 1, a transcriptional repressor that plays an essential role in circadian rhythm regulation, lipid metabolism, and inflammation. The UniProt recommended name is Nuclear receptor subfamily 1 group D member 1 (NR1D1), also known as Rev-erb alpha. NR1D1 is a ligand-dependent nuclear receptor that acts as a heme-binding transcriptional repressor, linking metabolic cues to circadian clock gene expression.Functionally, NR1D1 antibody recognizes a 65 kDa nuclear protein that represses transcription by binding to Rev-erb response elements (ROREs) within target gene promoters. NR1D1 lacks the classical activation domain found in many nuclear receptors and instead recruits corepressor complexes such as NCoR and HDAC3 to silence transcription. Its oscillatory expression pattern forms part of the molecular circadian clock, antagonizing the activity of the transcriptional activator ROR alpha to maintain rhythmic gene expression. NR1D1 also regulates genes involved in lipid and glucose metabolism, mitochondrial biogenesis, and immune function.The NR1D1 gene is located on chromosome 17q21.2 and encodes a protein composed of a DNA-binding domain with two zinc fingers and a ligand-binding domain that interacts with heme. Binding of heme modulates NR1D1 conformation and repressor activity, making it a redox-sensitive regulator of transcription. Through this mechanism, NR1D1 couples cellular metabolic state to circadian oscillations and energy balance. It directly represses key metabolic genes such as PGC-1alpha and BMAL1, thereby coordinating mitochondrial output and lipid storage cycles.In metabolic tissues such as liver, skeletal muscle, and adipose tissue, NR1D1 acts as a gatekeeper for energy utilization. Its activation suppresses lipogenesis and promotes fatty acid oxidation. Dysregulation of NR1D1 expression has been associated with obesity, type 2 diabetes, and inflammatory disorders. Additionally, NR1D1 influences macrophage polarization and cytokine production, linking circadian control to immune homeostasis.NR1D1 antibody is widely used in chronobiology, endocrinology, and transcriptional regulation research. It is valuable for immunoblotting, chromatin immunoprecipitation (ChIP), and immunofluorescence to study nuclear localization, DNA binding, and protein interactions. The antibody helps elucidate NR1D1's involvement in circadian rhythm synchronization, metabolic adaptation, and disease-related transcriptional control. In cancer research, altered NR1D1 expression influences tumor metabolism and proliferation, reflecting its broader impact on cellular energy networks.Structurally, NR1D1 forms homodimers or heterodimers with nuclear receptor corepressors and interacts with histone deacetylases to remodel chromatin. Post-translational regulation includes phosphorylation and SUMOylation, which modulate its stability and DNA-binding affinity. NSJ Bioreagents provides NR1D1 antibody reagents validated for use in circadian biology, metabolism, and transcriptional regulation studies.
Keywords: Anti-NR1D1, Anti-Rev-erbA-alpha, Anti-V-erbA-related protein 1, Anti-Nuclear receptor subfamily 1 group D member 1, NR1D1 Antibody / Nuclear receptor subfamily 1 group D member 1
Supplier: NSJ Bioreagents
Supplier-Nr: FY12968

Properties

Application: WB, IHC, FC
Antibody Type: Polyclonal
Conjugate: No
Host: Rabbit
Species reactivity: human, mouse, rat
Immunogen: A synthetic peptide corresponding to a sequence in the middle region of human NR1D1
Format: Purified

Handling & Safety

Storage: +4°C
Shipping: +4°C (International: +4°C)
Caution
Our products are for laboratory research use only: Not for administration to humans!
You will get a certificate here
or to request a certificate of analysis.
Read, write and discuss reviews... more
Customer review for "Anti-NR1D1 / Nuclear receptor subfamily 1 group D member 1"
Write a review
or to review a product.
Viewed