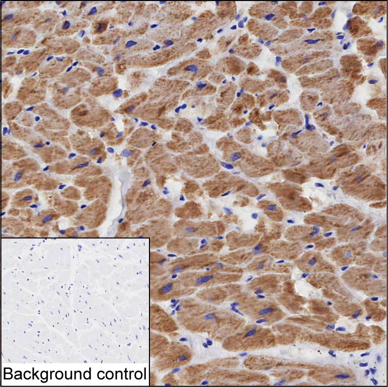
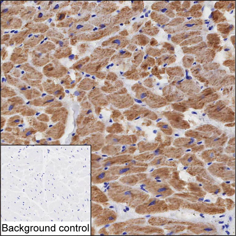
Anti-NPPC

Item number Size Datasheet Manual SDS Delivery time Quantity Price
ABS-KC-2375.50 50 µl - -

Request delivery time estimate

206.00€
ABS-KC-2375.100 100 µl - -

Request delivery time estimate

295.00€
 
Protein function: [CNP-22]: Hormone which plays a role in endochondral ossification through... more
Product information "Anti-NPPC"
Protein function: [CNP-22]: Hormone which plays a role in endochondral ossification through regulation of cartilaginous growth plate chondrocytes proliferation and differentiation. May also be vasoactive and natriuretic (PubMed:1672777). Acts by specifically binding and stimulating NPR2 to produce cGMP (PubMed:1672777, PubMed:21098034). Binds the clearance receptor NPR3 (PubMed:11533490). [The UniProt Consortium]
Keywords: Anti-C-type natriuretic peptide [Cleaved into: CNP-22, Anti-CNP-29, Anti-CNP-53], NPPC Antibody
Supplier: Absea
Supplier-Nr: KC-2375

Properties

Application: IHC
Antibody Type: Monoclonal
Clone: 2G2
Conjugate: No
Host: Mouse
Species reactivity: human
Immunogen: Recombinant human NPPC
Format: Solution

Handling & Safety

Storage: -20°C (avoid repeat freezing and thawing cycles)
Shipping: +4°C (International: +4°C)
Caution
Our products are for laboratory research use only: Not for administration to humans!
Information about the product reference will follow. more
You will get a certificate here
or to request a certificate of analysis.
Read, write and discuss reviews... more
Customer review for "Anti-NPPC"
Write a review
or to review a product.
Viewed