Cookie preferences
This website uses cookies, which are necessary for the technical operation of the website and are always set. Other cookies, which increase the comfort when using this website, are used for direct advertising or to facilitate interaction with other websites and social networks, are only set with your consent.
Configuration
Technically required
These cookies are necessary for the basic functions of the shop.
"Allow all cookies" cookie
"Decline all cookies" cookie
CSRF token
Cookie preferences
Currency change
Customer-specific caching
FACT-Finder tracking
Individual prices
Selected shop
Session
Comfort functions
These cookies are used to make the shopping experience even more appealing, for example for the recognition of the visitor.
Note
Show the facebook fanpage in the right blod sidebar
Statistics & Tracking
Affiliate program
Conversion and usertracking via Google Tag Manager
Track device being used
| Item number | Size | Datasheet | Manual | SDS | Delivery time | Quantity | Price |
|---|---|---|---|---|---|---|---|
| A300-550A-T | 10 µl (10 µg) | - |
2 - 8 business days* |
165.00€
|
|||
| A300-550A | 100 µl (100 µg) | - |
2 - 8 business days* |
586.00€
|
If you have any questions, please use our Contact Form.
You can also order by e-mail: info@biomol.com
Larger quantity required? Request bulk
You can also order by e-mail: info@biomol.com
Larger quantity required? Request bulk
Protein function: May be involved in augmenting coactivator protein recruitment to a group of... more
Product information "Anti-NMI"
Protein function: May be involved in augmenting coactivator protein recruitment to a group of sequence-specific transcription factors. Augments cytokine-mediated STAT transcription. Enhances CBP/p300 coactivator protein recruitment to STAT1 and STAT5. [The UniProt Consortium]
| Keywords: | Anti-Nmi, Anti-NMI, Anti-N-myc-interactor, Anti-N-myc and STAT interactor |
| Supplier: | Bethyl Laboratories |
| Supplier-Nr: | A300-550A |
Properties
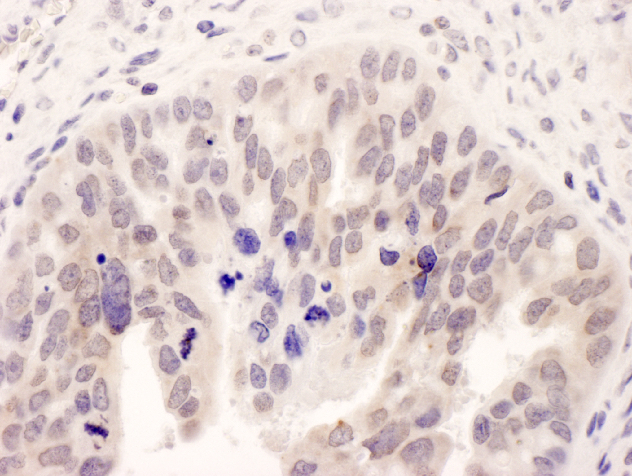
| Application: | WB, IP, IHC |
| Antibody Type: | Polyclonal |
| Conjugate: | No |
| Host: | Rabbit |
| Species reactivity: | human (Expected: gorilla, chimpanzee) |
| Immunogen: | synthetic peptide. The epitope recognized by A300-550A-T maps to a region between residues 1 and 50 of human N-myc and STAT interactor using the numbering given in entry NP_004679.1 (GeneID 9111). |
| Format: | Antigen Affinity Purified |
Database Information
| UniProt ID : | Q13287 | Matching products |
| Gene ID : | GeneID 9111 | Matching products |
Handling & Safety
| Storage: | +4°C |
| Shipping: | +4°C (International: +4°C) |
Caution
Our products are for laboratory research use only: Not for administration to humans!
Our products are for laboratory research use only: Not for administration to humans!
Information about the product reference will follow.
more
You will get a certificate here
Viewed