Cookie preferences
This website uses cookies, which are necessary for the technical operation of the website and are always set. Other cookies, which increase the comfort when using this website, are used for direct advertising or to facilitate interaction with other websites and social networks, are only set with your consent.
Configuration
Technically required
These cookies are necessary for the basic functions of the shop.
"Allow all cookies" cookie
"Decline all cookies" cookie
CSRF token
Cookie preferences
Currency change
Customer-specific caching
FACT-Finder tracking
Individual prices
Selected shop
Session
Comfort functions
These cookies are used to make the shopping experience even more appealing, for example for the recognition of the visitor.
Note
Show the facebook fanpage in the right blod sidebar
Statistics & Tracking
Affiliate program
Conversion and usertracking via Google Tag Manager
Track device being used
| Item number | Size | Datasheet | Manual | SDS | Delivery time | Quantity | Price |
|---|---|---|---|---|---|---|---|
| ARG59279.100 | 100 µl | - | - |
6 - 14 business days* |
658.00€
|
If you have any questions, please use our Contact Form.
You can also order by e-mail: info@biomol.com
Larger quantity required? Request bulk
You can also order by e-mail: info@biomol.com
Larger quantity required? Request bulk
Protein function: The membrane-bound isoform 1 is a receptor involved in the development of the... more
Product information "Anti-Neuropilin 1"
Protein function: The membrane-bound isoform 1 is a receptor involved in the development of the cardiovascular system, in angiogenesis, in the formation of certain neuronal circuits and in organogenesis outside the nervous system. It mediates the chemorepulsant activity of semaphorins. It binds to semaphorin 3A, The PLGF-2 isoform of PGF, The VEGF165 isoform of VEGFA and VEGFB. Coexpression with KDR results in increased VEGF165 binding to KDR as well as increased chemotaxis. Regulate VEGF-induced angiogenesis. Binding to VEGFA initiates a signaling pathway needed for motor neuron axon guidance and cell body migration, including for the caudal migration of facial motor neurons from rhombomere 4 to rhombomere 6 during embryonic development. [The UniProt Consortium]
| Keywords: | Anti-NRP, Anti-NRP1, Anti-CD304, Anti-Neuropilin-1, Anti-Vascular endothelial cell growth factor 165 receptor |
| Supplier: | Arigo Biolaboratories |
| Supplier-Nr: | ARG59279 |
Properties
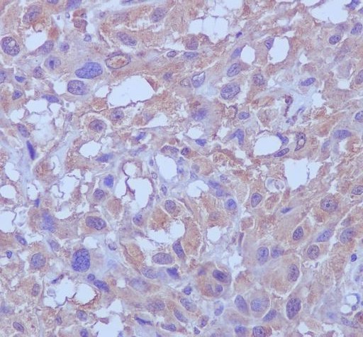
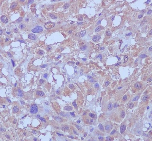
| Application: | FC, ICC, IF, IHC (frozen), IHC (paraffin), IP, WB |
| Antibody Type: | Polyclonal |
| Conjugate: | No |
| Host: | Rabbit |
| Species reactivity: | human, mouse, rat |
| Immunogen: | Synthesized peptide derived from Human Neuropilin 1 |
| MW: | 103 kD |
| Format: | Affinity Purified |
Database Information
| KEGG ID : | K06724 | Matching products |
| UniProt ID : | O14786 | Matching products |
| Gene ID : | GeneID 8829 | Matching products |
Handling & Safety
| Storage: | -20°C |
| Shipping: | +4°C (International: °C) |
Caution
Our products are for laboratory research use only: Not for administration to humans!
Our products are for laboratory research use only: Not for administration to humans!
Information about the product reference will follow.
more
You will get a certificate here
Viewed