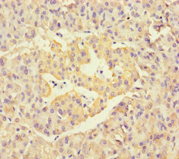
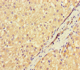
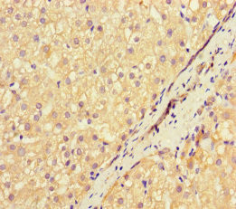
Anti-NEU1

Item number Size Datasheet Manual SDS Delivery time Quantity Price
CSB-PA17249A0Rb.50 50 µg -

10 - 14 business days*

167.00€
CSB-PA17249A0Rb.100 100 µg -

10 - 14 business days*

285.00€
 
Host Species: Rabbit. Isotype: IgG. Buffer: Preservative: 0.03% Proclin 300Constituents: 50%... more
Product information "Anti-NEU1"
Host Species: Rabbit. Isotype: IgG. Buffer: Preservative: 0.03% Proclin 300Constituents: 50% Glycerol, 0.01M PBS, PH 7.4. Storage: Upon receipt, store at -20°C or -80°C. Avoid repeated freeze. Purification Method: >95%, Protein G purified. Target Name: NEU1. Antigen Species: Human
Keywords: Anti-NEU1, Anti-NANH, EC=3.2.1.18, Anti-Sialidase-1, Anti-G9 sialidase, Anti-Lysosomal sialidase, Anti-Acetylneuraminyl hydrolase, Anti-N-acetyl-alpha-neuraminidase 1, Acetylneuraminyl hydrolase antibody, exo-alpha-sialidase antibody, G9 sialidase antibod
Supplier: Cusabio
Supplier-Nr: PA17249A0Rb

Properties

Application: ELISA, IHC, IF
Antibody Type: Polyclonal
Conjugate: No
Host: Rabbit
Species reactivity: human
Format: Purified

Handling & Safety

Storage: -20°C
Shipping: +4°C (International: +4°C)
Caution
Our products are for laboratory research use only: Not for administration to humans!
Information about the product reference will follow. more
You will get a certificate here
or to request a certificate of analysis.
Read, write and discuss reviews... more
Customer review for "Anti-NEU1"
Write a review
or to review a product.
Viewed