Cookie preferences
This website uses cookies, which are necessary for the technical operation of the website and are always set. Other cookies, which increase the comfort when using this website, are used for direct advertising or to facilitate interaction with other websites and social networks, are only set with your consent.
Configuration
Technically required
These cookies are necessary for the basic functions of the shop.
"Allow all cookies" cookie
"Decline all cookies" cookie
CSRF token
Cookie preferences
Currency change
Customer-specific caching
FACT-Finder tracking
Individual prices
Selected shop
Session
Comfort functions
These cookies are used to make the shopping experience even more appealing, for example for the recognition of the visitor.
Note
Show the facebook fanpage in the right blod sidebar
Statistics & Tracking
Affiliate program
Conversion and usertracking via Google Tag Manager
Track device being used
| Item number | Size | Datasheet | Manual | SDS | Delivery time | Quantity | Price |
|---|---|---|---|---|---|---|---|
| ARG63597.100 | 100 µg | - | - |
6 - 14 business days* |
871.00€
|
If you have any questions, please use our Contact Form.
You can also order by e-mail: info@biomol.com
Larger quantity required? Request bulk
You can also order by e-mail: info@biomol.com
Larger quantity required? Request bulk
Protein function: Stress-responsive protein involved in hormone responses, cell growth, and... more
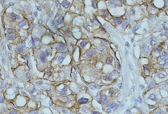
Product information "Anti-NDRG1"
Protein function: Stress-responsive protein involved in hormone responses, cell growth, and differentiation. Acts as a tumor suppressor in many cell types. Necessary but not sufficient for p53/TP53- mediated caspase activation and apoptosis. Has a role in cell trafficking, notably of the Schwann cell, and is necessary for the maintenance and development of the peripheral nerve myelin sheath. Required for vesicular recycling of CDH1 and TF. May also function in lipid trafficking. Protects cells from spindle disruption damage. Functions in p53/TP53-dependent mitotic spindle checkpoint. Regulates microtubule dynamics and maintains euploidy. [The UniProt Consortium]
| Keywords: | Anti-RTP, Anti-CAP43, Anti-Rit42, Anti-DRG-1, Anti-NDRG1, Anti-Protein NDRG1, Anti-Differentiation-related gene 1 protein, Anti-Nickel-specific induction protein Cap43, Anti-N-myc downstream-regulated gene 1 protein |
| Supplier: | Arigo Biolaboratories |
| Supplier-Nr: | ARG63597 |
Properties
| Application: | ELISA, WB, IHC (paraffin) |
| Antibody Type: | Polyclonal |
| Conjugate: | No |
| Host: | Goat |
| Species reactivity: | human, mouse, dog, rat |
| Immunogen: | GNSAGPKSMEVSC, corresponding to C terminal amino acids 382-394 of Human NDRG1 |
| Format: | Antigen Affinity Purified |
Database Information
| KEGG ID : | K18266 | Matching products |
| UniProt ID : | Q92597 | Matching products |
| Gene ID : | GeneID 10397 | Matching products |
Handling & Safety
| Storage: | -20°C |
| Shipping: | -20°C (International: -20°C) |
Caution
Our products are for laboratory research use only: Not for administration to humans!
Our products are for laboratory research use only: Not for administration to humans!
Information about the product reference will follow.
more
You will get a certificate here
Viewed