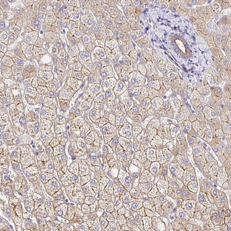
Anti-MYO1B

Item number Size Datasheet Manual SDS Delivery time Quantity Price
ATA-HPA060144.25 25 µl -

7 - 10 business days*

246.00€
ATA-HPA060144.100 100 µl -

7 - 10 business days*

491.00€
 
Protein function: Motor protein that may participate in process critical to neuronal development... more
Product information "Anti-MYO1B"
Protein function: Motor protein that may participate in process critical to neuronal development and function such as cell migration, neurite outgrowth and vesicular transport. [The UniProt Consortium] Buffer: 40% glycerol and PBS (pH 7.2). 0.02% sodium azide is added as preservative. Highest antigen sequence identity to mouse: 100% and to rat: 100%
Keywords: Anti-MMIa, Anti-MYO1B, Anti-MYH-1c, Anti-MMI-alpha, Anti-Myosin I alpha, Anti-Unconventional myosin-Ib
Supplier: Atlas Antibodies
Supplier-Nr: HPA060144

Properties

Application: ICC, IHC, WB
Antibody Type: Polyclonal
Conjugate: No
Host: Rabbit
Species reactivity: human
Immunogen: Recombinant Protein Epitope Signature Tag (PrEST) antigen sequence: EVVNKINRAN GKSTSRIFLL TNNNLLLADQ KSGQIKSEVP LVDVTKVSMS SQNDGFFAVH LKEGSEAASK GDFLFSSDHL IEMATKLYRT TLSQTKQKLN IEISDEFLVQ FR (ATA-APrEST87878)

Database Information

KEGG ID : K10356 | Matching products
UniProt ID : O43795 | Matching products
Gene ID : GeneID 4430 | Matching products
Protein Atlas Nr. : ENSG00000128641

Handling & Safety

Storage: -20°C
Shipping: +20°C (International: +20°C)
Caution
Our products are for laboratory research use only: Not for administration to humans!
You will get a certificate here
or to request a certificate of analysis.
Read, write and discuss reviews... more
Customer review for "Anti-MYO1B"
Write a review
or to review a product.
Viewed