Cookie preferences
This website uses cookies, which are necessary for the technical operation of the website and are always set. Other cookies, which increase the comfort when using this website, are used for direct advertising or to facilitate interaction with other websites and social networks, are only set with your consent.
Configuration
Technically required
These cookies are necessary for the basic functions of the shop.
"Allow all cookies" cookie
"Decline all cookies" cookie
CSRF token
Cookie preferences
Currency change
Customer-specific caching
FACT-Finder tracking
Individual prices
Selected shop
Session
Comfort functions
These cookies are used to make the shopping experience even more appealing, for example for the recognition of the visitor.
Note
Show the facebook fanpage in the right blod sidebar
Statistics & Tracking
Affiliate program
Conversion and usertracking via Google Tag Manager
Track device being used
| Item number | Size | Datasheet | Manual | SDS | Delivery time | Quantity | Price |
|---|---|---|---|---|---|---|---|
| ARG42116.100 | 100 µl | - | - |
6 - 14 business days* |
707.00€
|
If you have any questions, please use our Contact Form.
You can also order by e-mail: info@biomol.com
Larger quantity required? Request bulk
You can also order by e-mail: info@biomol.com
Larger quantity required? Request bulk
Protein function: E3 ubiquitin-protein ligase that mediates ubiquitination and subsequent... more
Product information "Anti-MYLIP / IDOL"
Protein function: E3 ubiquitin-protein ligase that mediates ubiquitination and subsequent proteasomal degradation of myosin regulatory light chain (MRLC), LDLR, VLDLR and LRP8. Activity depends on E2 enzymes of the UBE2D family. Proteasomal degradation of MRLC leads to inhibit neurite outgrowth in presence of NGF by counteracting the stabilization of MRLC by saposin-like protein (CNPY2/MSAP) and reducing CNPY2-stimulated neurite outgrowth. Acts as a sterol-dependent inhibitor of cellular cholesterol uptake by mediating ubiquitination and subsequent degradation of LDLR. [The UniProt Consortium]
| Keywords: | Anti-MIR, Anti-Idol, Anti-BZF1, Anti-MYLIP, Anti-BM-023, EC=2.3.2.27, Anti-E3 ubiquitin-protein ligase MYLIP, Anti-Inducible degrader of the LDL-receptor, Anti-RING-type E3 ubiquitin transferase MYLIP |
| Supplier: | Arigo Biolaboratories |
| Supplier-Nr: | ARG42116 |
Properties
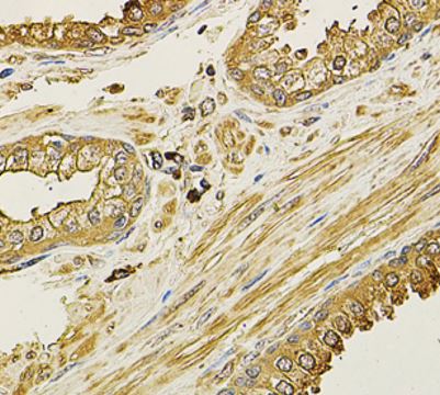
| Application: | IHC (paraffin), WB |
| Antibody Type: | Polyclonal |
| Conjugate: | No |
| Host: | Rabbit |
| Species reactivity: | human, mouse, rat |
| Immunogen: | Recombinant fusion protein corresponding to aa. 266-445 of Human MYLIP / IDOL (NP_037394.2) |
| MW: | 50 kD |
| Format: | Affinity Purified |
Database Information
| KEGG ID : | K10637 | Matching products |
| UniProt ID : | Q8WY64 | Matching products |
| Gene ID : | GeneID 29116 | Matching products |
Handling & Safety
| Storage: | -20°C |
| Shipping: | +4°C (International: °C) |
Caution
Our products are for laboratory research use only: Not for administration to humans!
Our products are for laboratory research use only: Not for administration to humans!
Information about the product reference will follow.
more
You will get a certificate here
Viewed