Cookie preferences
This website uses cookies, which are necessary for the technical operation of the website and are always set. Other cookies, which increase the comfort when using this website, are used for direct advertising or to facilitate interaction with other websites and social networks, are only set with your consent.
Configuration
Technically required
These cookies are necessary for the basic functions of the shop.
"Allow all cookies" cookie
"Decline all cookies" cookie
CSRF token
Cookie preferences
Currency change
Customer-specific caching
FACT-Finder tracking
Individual prices
Selected shop
Session
Comfort functions
These cookies are used to make the shopping experience even more appealing, for example for the recognition of the visitor.
Note
Show the facebook fanpage in the right blod sidebar
Statistics & Tracking
Affiliate program
Conversion and usertracking via Google Tag Manager
Track device being used
| Item number | Size | Datasheet | Manual | SDS | Delivery time | Quantity | Price |
|---|---|---|---|---|---|---|---|
| ARG40456.100 | 100 µl | - | - |
6 - 14 business days* |
707.00€
|
If you have any questions, please use our Contact Form.
You can also order by e-mail: info@biomol.com
Larger quantity required? Request bulk
You can also order by e-mail: info@biomol.com
Larger quantity required? Request bulk
Protein function: Cellular myosin that appears to play a role in cytokinesis, cell shape, and... more
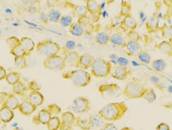
Product information "Anti-MYH10"
Protein function: Cellular myosin that appears to play a role in cytokinesis, cell shape, and specialized functions such as secretion and capping. Involved with LARP6 in the stabilization of type I collagen mRNAs for CO1A1 and CO1A2. During cell spreading, plays an important role in cytoskeleton reorganization, focal contacts formation (in the central part but not the margins of spreading cells), and lamellipodial extension, this function is mechanically antagonized by MYH9. [The UniProt Consortium]
| Keywords: | Anti-MYH10, Anti-NMMHC-B, Anti-Myosin-10, Anti-NMMHC-IIB, Anti-NMMHC II-b, Anti-Myosin heavy chain 10, Anti-Non-muscle myosin heavy chain B, Anti-Non-muscle myosin heavy chain IIb, Anti-Myosin heavy chain, non-muscle IIb, Anti-Cellular myosin heavy chain |
| Supplier: | Arigo Biolaboratories |
| Supplier-Nr: | ARG40456 |
Properties
| Application: | IHC (paraffin), WB |
| Antibody Type: | Polyclonal |
| Conjugate: | No |
| Host: | Rabbit |
| Species reactivity: | human, mouse, rat |
| Immunogen: | Recombinant fusion protein corresponding to aa. 1908-2007 of Human MYH10 (NP_001242941.1) |
| MW: | 232 kD |
| Format: | Affinity Purified |
Database Information
| KEGG ID : | K10352 | Matching products |
| UniProt ID : | P35580 | Matching products |
| Gene ID : | GeneID 4628 | Matching products |
Handling & Safety
| Storage: | -20°C |
| Shipping: | +4°C (International: °C) |
Caution
Our products are for laboratory research use only: Not for administration to humans!
Our products are for laboratory research use only: Not for administration to humans!
Information about the product reference will follow.
more
You will get a certificate here
Viewed