Cookie preferences
This website uses cookies, which are necessary for the technical operation of the website and are always set. Other cookies, which increase the comfort when using this website, are used for direct advertising or to facilitate interaction with other websites and social networks, are only set with your consent.
Configuration
Technically required
These cookies are necessary for the basic functions of the shop.
"Allow all cookies" cookie
"Decline all cookies" cookie
CSRF token
Cookie preferences
Currency change
Customer-specific caching
FACT-Finder tracking
Individual prices
Selected shop
Session
Comfort functions
These cookies are used to make the shopping experience even more appealing, for example for the recognition of the visitor.
Note
Show the facebook fanpage in the right blod sidebar
Statistics & Tracking
Affiliate program
Conversion and usertracking via Google Tag Manager
Track device being used
| Item number | Size | Datasheet | Manual | SDS | Delivery time | Quantity | Price |
|---|---|---|---|---|---|---|---|
| NSJ-V2721SAF-100UG | 100 µg | - | - |
3 - 10 business days* |
810.00€
|
If you have any questions, please use our Contact Form.
You can also order by e-mail: info@biomol.com
Larger quantity required? Request bulk
You can also order by e-mail: info@biomol.com
Larger quantity required? Request bulk
1 mg/ml in 1X PBS, BSA free, sodium azide free. This mAb recognizes full-length... more
Product information "Anti-MUC1 / Mucin-1, clone HMPV"
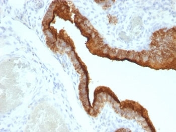
1 mg/ml in 1X PBS, BSA free, sodium azide free. This mAb recognizes full-length MUC1/Mucin-1/Epithelial Marker Antigen/EMA in a glycosylation-independent manner and can bind to the fully glycosylated protein. The dominant epitope of this mAb is APDTR in the VNTR region. It reacts with the core peptide of the MUC1 protein, which is a member of a family of mucin glycoproteins that are characterized by high carbohydrate content, O-linked oligosaccharides, high molecular weight (>200kDa) and an amino acid composition rich in serine, threonine, proline and glycine. The core protein contains a domain of 20 amino-acid tandem repeats that functions as multiple epitopes for the mAb. Incomplete glycosylation of some tumor-associated mucins may lead to variable unmasking of the multiple peptide epitopes leading to the observed differences in staining intensity between normal and malignant tissues. This mAb reacts with both normal and malignant epithelia of various tissues including breast and colon. Protein function: The alpha subunit has cell adhesive properties. Can act both as an adhesion and an anti-adhesion protein. May provide a protective layer on epithelial cells against bacterial and enzyme attack. [The UniProt Consortium]
| Keywords: | Anti-PUM, Anti-MUC1, MUC1 Antibody / Mucin-1 |
| Supplier: | NSJ Bioreagents |
| Supplier-Nr: | V2721SAF |
Properties
| Application: | FC, IF, IHC (paraffin), WB |
| Antibody Type: | Monoclonal |
| Clone: | HMPV |
| Conjugate: | No |
| Host: | Mouse |
| Species reactivity: | human |
| Immunogen: | Human breast cancer cell line ZR-75 cells |
| Format: | Purified |
Database Information
| KEGG ID : | K06568 | Matching products |
| UniProt ID : | P15941 | Matching products |
| Gene ID : | GeneID 4582 | Matching products |
Handling & Safety
| Storage: | +4°C |
| Shipping: | +4°C (International: +4°C) |
Caution
Our products are for laboratory research use only: Not for administration to humans!
Our products are for laboratory research use only: Not for administration to humans!
Information about the product reference will follow.
more
You will get a certificate here
Viewed