Cookie preferences
This website uses cookies, which are necessary for the technical operation of the website and are always set. Other cookies, which increase the comfort when using this website, are used for direct advertising or to facilitate interaction with other websites and social networks, are only set with your consent.
Configuration
Technically required
These cookies are necessary for the basic functions of the shop.
"Allow all cookies" cookie
"Decline all cookies" cookie
CSRF token
Cookie preferences
Currency change
Customer-specific caching
FACT-Finder tracking
Individual prices
Selected shop
Session
Comfort functions
These cookies are used to make the shopping experience even more appealing, for example for the recognition of the visitor.
Note
Show the facebook fanpage in the right blod sidebar
Statistics & Tracking
Affiliate program
Conversion and usertracking via Google Tag Manager
Track device being used
| Item number | Size | Datasheet | Manual | SDS | Delivery time | Quantity | Price |
|---|---|---|---|---|---|---|---|
| ATA-HPA000436.25 | 25 µl | - |
7 - 10 business days* |
246.00€
|
|||
| ATA-HPA000436.100 | 100 µl | - |
7 - 10 business days* |
491.00€
|
If you have any questions, please use our Contact Form.
You can also order by e-mail: info@biomol.com
Larger quantity required? Request bulk
You can also order by e-mail: info@biomol.com
Larger quantity required? Request bulk
Protein function: Essential for epigenetic silencing by the HUSH (human silencing hub) complex.... more
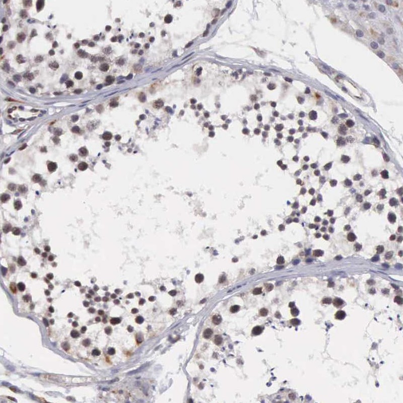
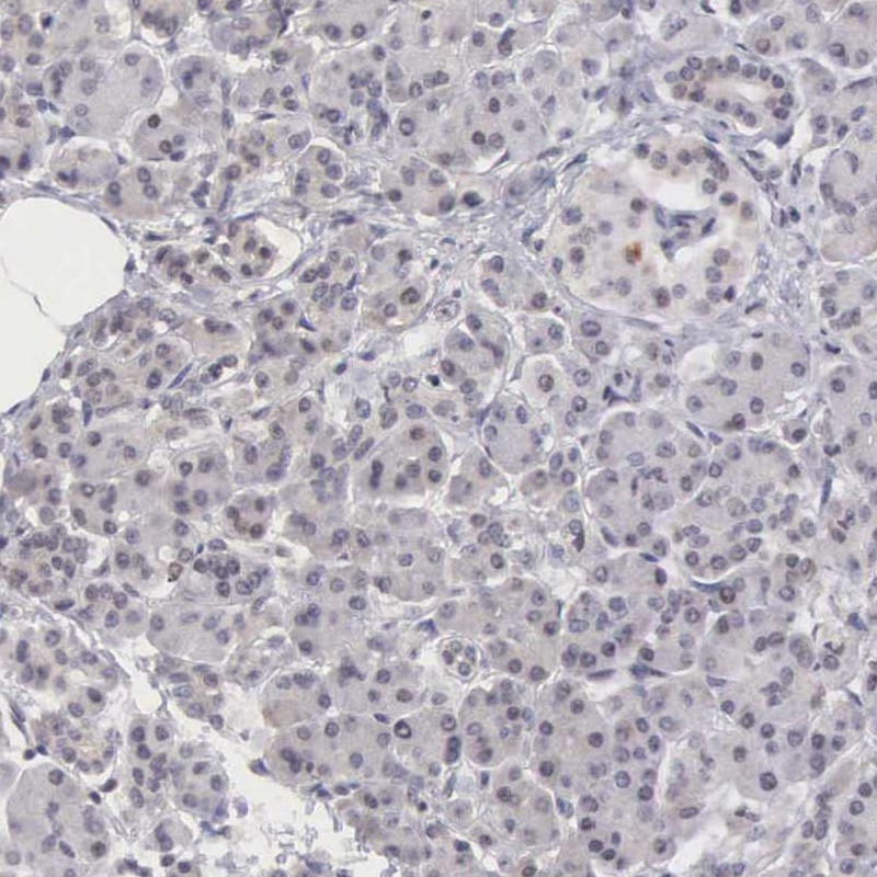
Product information "Anti-MORC2"
Protein function: Essential for epigenetic silencing by the HUSH (human silencing hub) complex. Recruited by HUSH to target site in heterochromatin, the ATPase activity and homodimerization are critical for HUSH-mediated silencing (PubMed:28581500, PubMed:29440755). Represses germ cell-related genes and L1 retrotransposons in collaboration with SETDB1 and the HUSH complex, the silencing is dependent of repressive epigenetic modifications, such as H3K9me3 mark. Silencing events often occur within introns of transcriptionally active genes, and lead to the down-regulation of host gene expression (PubMed:29211708). During DNA damage response, regulates chromatin remodeling through ATP hydrolysis. Upon DNA damage, is phosphorylated by PAK1, both colocalize to chromatin and induce H2AX expression. ATPase activity is required and dependent of phosphorylation by PAK1 and presence of DNA (PubMed:23260667). Recruits histone deacetylases, such as HDAC4, to promoter regions, causing local histone H3 deacetylation and transcriptional repression of genes such as CA9 (PubMed:20225202, PubMed:20110259). Exhibits a cytosolic function in lipogenesis, adipogenic differentiation, and lipid homeostasis by increasing the activity of ACLY, possibly preventing its dephosphorylation (PubMed:24286864). [The UniProt Consortium] Buffer: 40% glycerol and PBS (pH 7.2). 0.02% sodium azide is added as preservative. Highest antigen sequence identity to mouse: 92% and to rat: 93%
| Keywords: | Anti-KIAA0852, Anti-ATPase MORC2, Anti-MORC family CW-type zinc finger protein 2, Anti-Zinc finger CW-type coiled-coil domain protein 1 |
| Supplier: | Atlas Antibodies |
| Supplier-Nr: | HPA000436 |
Properties
| Application: | ICC, IHC |
| Antibody Type: | Polyclonal |
| Conjugate: | No |
| Host: | Rabbit |
| Species reactivity: | human |
| Immunogen: | Recombinant Protein Epitope Signature Tag (PrEST) antigen sequence: TSECLRIEPD TTALSTNHET IDLLVQILRN CLRYFLPPSF PISKKQLSAM NSDELISFPL KEYFKQYEVG LQNLCNSYQS RADSRAKASE ESLRTSERKL RETEEKLQKL RTNIVALLQK VQEDIDINTD DELDAYIED (ATA-APrEST73394) |
Database Information
| KEGG ID : | K24135 | Matching products |
| UniProt ID : | Q9Y6X9 | Matching products |
| Gene ID : | GeneID 22880 | Matching products |
| Protein Atlas Nr. : | ENSG00000133422 |
Handling & Safety
| Storage: | -20°C |
| Shipping: | +20°C (International: +20°C) |
Caution
Our products are for laboratory research use only: Not for administration to humans!
Our products are for laboratory research use only: Not for administration to humans!
Information about the product reference will follow.
more
You will get a certificate here
Viewed