Cookie preferences
This website uses cookies, which are necessary for the technical operation of the website and are always set. Other cookies, which increase the comfort when using this website, are used for direct advertising or to facilitate interaction with other websites and social networks, are only set with your consent.
Configuration
Technically required
These cookies are necessary for the basic functions of the shop.
"Allow all cookies" cookie
"Decline all cookies" cookie
CSRF token
Cookie preferences
Currency change
Customer-specific caching
FACT-Finder tracking
Individual prices
Selected shop
Session
Comfort functions
These cookies are used to make the shopping experience even more appealing, for example for the recognition of the visitor.
Note
Show the facebook fanpage in the right blod sidebar
Statistics & Tracking
Affiliate program
Conversion and usertracking via Google Tag Manager
Track device being used
| Item number | Size | Datasheet | Manual | SDS | Delivery time | Quantity | Price |
|---|---|---|---|---|---|---|---|
| NSJ-R31469 | 100 µg | - | - |
3 - 10 business days* |
790.00€
|
If you have any questions, please use our Contact Form.
You can also order by e-mail: info@biomol.com
Larger quantity required? Request bulk
You can also order by e-mail: info@biomol.com
Larger quantity required? Request bulk
0.5mg/ml if reconstituted with 0.2ml sterile DI water. Matrix metalloproteinase-7, previously... more
Product information "Anti-MMP7"
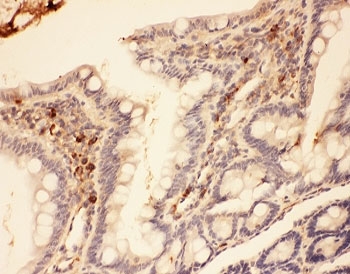
0.5mg/ml if reconstituted with 0.2ml sterile DI water. Matrix metalloproteinase-7, previously called putative metalloproteinase I (PUMP1) or Matrilysin has been identified through studies of collagenase-related connective-tissue-degrading metalloproteinases produced by human tumors. The MMP7 protein has 267 amino acids and is significantly shorter than stromelysin or collagenase (477 and 469 amino acids, respectively). Matrix metalloproteinases play a crucial role in tumor invasion and metastasis. MMP7, a member of the matrix metalloproteinase family, is structurally different from the other matrix metalloproteinases by virtue of the absence of a conserved COOH-terminal protein domain. In addition, MMP7 mRNA is regulated in a specific and distinct manner in normal and malignant tissues. MMP7 has been shown to correlate with nodal or distant metastasis in colorectal carcinomas, however, its implication in early invasive colorectal carcinomas has not been determined. MMP7 is also a mediator of pulmonary fibrosis and a potential therapeutic target.
| Keywords: | Anti-Matrilysin, Anti-Matrix metallopeptidase 7, MMP7 Antibody |
| Supplier: | NSJ Bioreagents |
| Supplier-Nr: | R31469 |
Properties
| Application: | WB, IHC (paraffin), ELISA |
| Antibody Type: | Polyclonal |
| Conjugate: | No |
| Host: | Rabbit |
| Species reactivity: | mouse, rat |
| Immunogen: | Mouse partial recombinant protein (AA 95-264) was used as the immunogen for this MMP7 antibody. |
| Format: | Purified |
Database Information
| KEGG ID : | K01397 | Matching products |
| UniProt ID : | Q3UN27 | Matching products |
| Gene ID : | GeneID 17393 | Matching products |
Handling & Safety
| Storage: | +4°C |
| Shipping: | +4°C (International: +4°C) |
Caution
Our products are for laboratory research use only: Not for administration to humans!
Our products are for laboratory research use only: Not for administration to humans!
Information about the product reference will follow.
more
You will get a certificate here
Viewed