Anti-MIS12

Item number Size Datasheet Manual SDS Delivery time Quantity Price
A300-776A-T 10 µl (10 µg) -

2 - 8 business days*

165.00€
A300-776A 100 µl (100 µg) -

2 - 8 business days*

586.00€
 
Protein function: Part of the MIS12 complex which is required for normal chromosome alignment and... more
Product information "Anti-MIS12"
Protein function: Part of the MIS12 complex which is required for normal chromosome alignment and segregation and for kinetochore formation during mitosis (PubMed:12515822, PubMed:15502821, PubMed:16585270). Essential for proper kinetochore microtubule attachments (PubMed:23891108). [The UniProt Consortium]
Keywords: Anti-Protein MIS12 homolog
Supplier: Bethyl Laboratories
Supplier-Nr: A300-776A

Properties

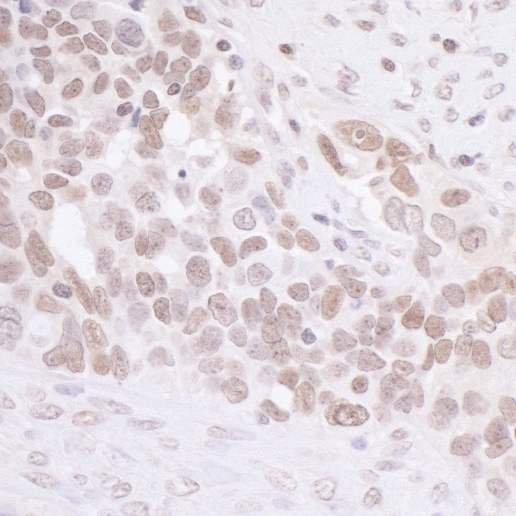
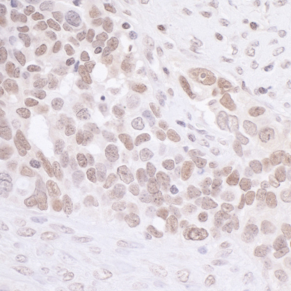
Application: WB, IP, IHC
Antibody Type: Polyclonal
Conjugate: No
Host: Rabbit
Species reactivity: human (Expected: orangutan)
Immunogen: synthetic peptide. The epitope recognized by A300-776A-T maps to a region between residue 150 and the C-terminus (residue 205) of human MIS12 homolog using the numbering given in entry NP_076944.1 (GeneID 79003).
Format: Antigen Affinity Purified

Handling & Safety

Storage: +4°C
Shipping: +4°C (International: +4°C)
Caution
Our products are for laboratory research use only: Not for administration to humans!
You will get a certificate here
or to request a certificate of analysis.
Read, write and discuss reviews... more
Customer review for "Anti-MIS12"
Write a review
or to review a product.
Viewed