Cookie preferences
This website uses cookies, which are necessary for the technical operation of the website and are always set. Other cookies, which increase the comfort when using this website, are used for direct advertising or to facilitate interaction with other websites and social networks, are only set with your consent.
Configuration
Technically required
These cookies are necessary for the basic functions of the shop.
"Allow all cookies" cookie
"Decline all cookies" cookie
CSRF token
Cookie preferences
Currency change
Customer-specific caching
FACT-Finder tracking
Individual prices
Selected shop
Session
Comfort functions
These cookies are used to make the shopping experience even more appealing, for example for the recognition of the visitor.
Note
Show the facebook fanpage in the right blod sidebar
Statistics & Tracking
Affiliate program
Conversion and usertracking via Google Tag Manager
Track device being used
| Item number | Size | Datasheet | Manual | SDS | Delivery time | Quantity | Price |
|---|---|---|---|---|---|---|---|
| NSJ-FY12081 | 100 µg | - | - |
3 - 10 business days* |
790.00€
|
If you have any questions, please use our Contact Form.
You can also order by e-mail: info@biomol.com
Larger quantity required? Request bulk
You can also order by e-mail: info@biomol.com
Larger quantity required? Request bulk
Adding 0.2 ml of distilled water will yield a concentration of 500 ug/ml. MIOX antibody detects... more
Product information "Anti-MIOX / Myo-inositol oxygenase"
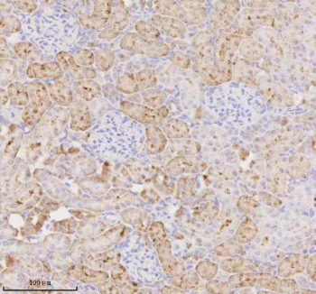
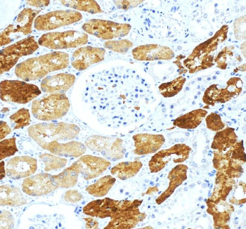
Adding 0.2 ml of distilled water will yield a concentration of 500 ug/ml. MIOX antibody detects Myo-inositol oxygenase, encoded by the MIOX gene. Myo-inositol oxygenase is an enzyme located in the renal cortex that catalyzes the first committed step in the myo-inositol catabolism pathway. MIOX antibody provides researchers with a specialized reagent for studying renal metabolism, inositol regulation, and diabetic kidney disease.Myo-inositol oxygenase belongs to the sugar oxygenase family of non-heme iron enzymes. Research using MIOX antibody has shown that it catalyzes the conversion of myo-inositol to D-glucuronic acid, a pathway that links inositol metabolism to glucuronidation and detoxification. Its restricted expression in the kidney makes MIOX a tissue-specific metabolic regulator.Studies with MIOX antibody have revealed that overexpression of MIOX occurs in diabetic nephropathy, where it contributes to oxidative stress and tubular injury. Elevated activity leads to increased generation of reactive oxygen species, impairing renal function. These findings highlight its role as both a metabolic enzyme and a contributor to disease progression in diabetes.Dysregulation of Myo-inositol oxygenase has also been implicated in kidney injury, fibrosis, and metabolic disorders. Research using MIOX antibody has shown that suppression of MIOX protects against oxidative stress-induced renal injury, suggesting therapeutic potential in chronic kidney disease. Beyond renal biology, MIOX may contribute to systemic regulation of inositol levels and metabolic pathways.MIOX antibody is widely applied in western blotting, immunohistochemistry, and enzymatic studies. Western blotting quantifies expression in renal tissue, immunohistochemistry highlights tubular expression in kidney cortex, and enzymatic assays confirm catalytic activity. These applications make MIOX antibody indispensable for renal metabolism research.By supplying validated MIOX antibody reagents, NSJ Bioreagents supports studies into kidney metabolism, diabetes, and oxidative stress. Detection of Myo-inositol oxygenase provides researchers with insight into how inositol catabolism contributes to renal physiology and pathology.
| Keywords: | Anti-MIOX, Anti-Inositol oxygenase, Anti-Myo-inositol oxygenase, Anti-Aldehyde reductase-like 6, Anti-Kidney-specific protein 32, Anti-Renal-specific oxidoreductase, MIOX Antibody / Myo-inositol oxygenase |
| Supplier: | NSJ Bioreagents |
| Supplier-Nr: | FY12081 |
Properties
| Application: | WB, IHC, FC, ELISA |
| Antibody Type: | Polyclonal |
| Conjugate: | No |
| Host: | Rabbit |
| Species reactivity: | human, mouse, rat |
| Immunogen: | E.coli-derived human MIOX recombinant protein (Position: M1-K266) |
| Format: | Purified |
Database Information
| KEGG ID : | K00469 | Matching products |
| UniProt ID : | Q9UGB7 | Matching products |
| Gene ID : | GeneID 55586 | Matching products |
Handling & Safety
| Storage: | +4°C |
| Shipping: | +4°C (International: +4°C) |
Caution
Our products are for laboratory research use only: Not for administration to humans!
Our products are for laboratory research use only: Not for administration to humans!
Information about the product reference will follow.
more
You will get a certificate here
Viewed