Cookie preferences
This website uses cookies, which are necessary for the technical operation of the website and are always set. Other cookies, which increase the comfort when using this website, are used for direct advertising or to facilitate interaction with other websites and social networks, are only set with your consent.
Configuration
Technically required
These cookies are necessary for the basic functions of the shop.
"Allow all cookies" cookie
"Decline all cookies" cookie
CSRF token
Cookie preferences
Currency change
Customer-specific caching
FACT-Finder tracking
Individual prices
Selected shop
Session
Comfort functions
These cookies are used to make the shopping experience even more appealing, for example for the recognition of the visitor.
Note
Show the facebook fanpage in the right blod sidebar
Statistics & Tracking
Affiliate program
Conversion and usertracking via Google Tag Manager
Track device being used
| Item number | Size | Datasheet | Manual | SDS | Delivery time | Quantity | Price |
|---|---|---|---|---|---|---|---|
| NSJ-F52339-0.08ML | 80 µl | - | - |
3 - 10 business days* |
361.00€
|
||
| NSJ-F52339-0.4ML | 400 µl | - | - |
3 - 10 business days* |
772.00€
|
If you have any questions, please use our Contact Form.
You can also order by e-mail: info@biomol.com
Larger quantity required? Request bulk
You can also order by e-mail: info@biomol.com
Larger quantity required? Request bulk
In 1X PBS, pH 7.4, with 0.09% sodium azide. Involved in the cellular defense against the... more
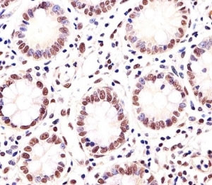
Product information "Anti-MGMT, clone 888CT22.2.4"
In 1X PBS, pH 7.4, with 0.09% sodium azide. Involved in the cellular defense against the biological effects of O6-methylguanine (O6-MeG) in DNA. Repairs alkylated guanine in DNA by stoichiometrically transferring the alkyl group at the O-6 position to a cysteine residue in the enzyme. This is a suicide reaction: the enzyme is irreversibly inactivated. Protein function: Involved in the cellular defense against the biological effects of O6-methylguanine (O6-MeG) in DNA. Repairs alkylated guanine in DNA by stoichiometrically transferring the alkyl group at the O-6 position to a cysteine residue in the enzyme. This is a suicide reaction: the enzyme is irreversibly inactivated. [The UniProt Consortium]
| Keywords: | Anti-MGMT, EC=2.1.1.63, Anti-O-6-methylguanine-DNA-alkyltransferase, Anti-6-O-methylguanine-DNA methyltransferase, Anti-Methylated-DNA--protein-cysteine methyltransferase, MGMT Antibody |
| Supplier: | NSJ Bioreagents |
| Supplier-Nr: | F52339 |
Properties
| Application: | IHC, IF, WB, ELISA |
| Antibody Type: | Monoclonal |
| Clone: | 888CT22.2.4 |
| Conjugate: | No |
| Host: | Mouse |
| Species reactivity: | human |
| Immunogen: | Purified His-tagged protein was used to produced this monoclonal MGMT antibody. |
| Format: | Purified |
Database Information
| KEGG ID : | K00567 | Matching products |
| UniProt ID : | P16455 | Matching products |
| Gene ID : | GeneID 4255 | Matching products |
Handling & Safety
| Storage: | -20°C |
| Shipping: | +4°C (International: +4°C) |
Caution
Our products are for laboratory research use only: Not for administration to humans!
Our products are for laboratory research use only: Not for administration to humans!
Information about the product reference will follow.
more
You will get a certificate here
Viewed