Cookie preferences
This website uses cookies, which are necessary for the technical operation of the website and are always set. Other cookies, which increase the comfort when using this website, are used for direct advertising or to facilitate interaction with other websites and social networks, are only set with your consent.
Configuration
Technically required
These cookies are necessary for the basic functions of the shop.
"Allow all cookies" cookie
"Decline all cookies" cookie
CSRF token
Cookie preferences
Currency change
Customer-specific caching
FACT-Finder tracking
Individual prices
Selected shop
Session
Comfort functions
These cookies are used to make the shopping experience even more appealing, for example for the recognition of the visitor.
Note
Show the facebook fanpage in the right blod sidebar
Statistics & Tracking
Affiliate program
Conversion and usertracking via Google Tag Manager
Track device being used
| Item number | Size | Datasheet | Manual | SDS | Delivery time | Quantity | Price |
|---|---|---|---|---|---|---|---|
| NSJ-V2254-20UG | 20 µg | - | - |
3 - 10 business days* |
375.00€
|
||
| NSJ-V2254-100UG | 100 µg | - | - |
3 - 10 business days* |
810.00€
|
If you have any questions, please use our Contact Form.
You can also order by e-mail: info@biomol.com
Larger quantity required? Request bulk
You can also order by e-mail: info@biomol.com
Larger quantity required? Request bulk
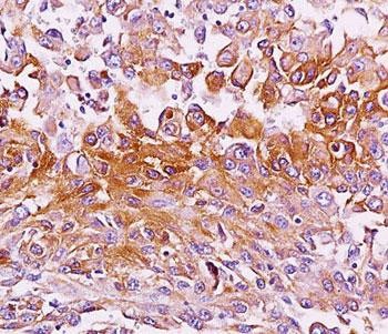
0.2 mg/ml with 0.1 mg/ml BSA (US sourced), 0.05% sodium azide. By immunohistochemistry, this... more
Product information "Anti-Melanoma gp100, clone NKI-beteb"
0.2 mg/ml with 0.1 mg/ml BSA (US sourced), 0.05% sodium azide. By immunohistochemistry, this melanoma gp100 antibody specifically recognizes a protein in melanocytes and melanomas. It reacts with junctional and blue nevus cells and variably with fetal and neonatal melanocytes. Intradermal nevi, normal adult melanocytes, and non-melanocytic cells are negative. It does not stain tumor cells of epithelial, lymphoid, glial, or mesenchymal origin. The melanoma gp100 antibody labels formalin/paraffin melanomas and other tumors showing melanocytic differentiation. Protein function: Plays a central role in the biogenesis of melanosomes. Involved in the maturation of melanosomes from stage I to II. The transition from stage I melanosomes to stage II melanosomes involves an elongation of the vesicle, and the appearance within of distinct fibrillar structures. Release of the soluble form, ME20-S, could protect tumor cells from antibody mediated immunity. [The UniProt Consortium]
| Keywords: | Anti-PMEL, Anti-D12S53E, Melanoma gp100 Antibody |
| Supplier: | NSJ Bioreagents |
| Supplier-Nr: | V2254 |
Properties
| Application: | IHC, FC, IF |
| Antibody Type: | Monoclonal |
| Clone: | NKI-beteb |
| Conjugate: | No |
| Host: | Mouse |
| Species reactivity: | human, horse |
| Immunogen: | Membranes from a human melanoma metastasis were used as the immunogen for this Melanoma gp100 antibody. |
| Format: | Purified |
Database Information
| KEGG ID : | K17304 | Matching products |
| UniProt ID : | P40967 | Matching products |
| Gene ID : | GeneID 6490 | Matching products |
Handling & Safety
| Storage: | +4°C |
| Shipping: | +4°C (International: +4°C) |
Caution
Our products are for laboratory research use only: Not for administration to humans!
Our products are for laboratory research use only: Not for administration to humans!
Information about the product reference will follow.
more
You will get a certificate here
Viewed