Cookie preferences
This website uses cookies, which are necessary for the technical operation of the website and are always set. Other cookies, which increase the comfort when using this website, are used for direct advertising or to facilitate interaction with other websites and social networks, are only set with your consent.
Configuration
Technically required
These cookies are necessary for the basic functions of the shop.
"Allow all cookies" cookie
"Decline all cookies" cookie
CSRF token
Cookie preferences
Currency change
Customer-specific caching
FACT-Finder tracking
Individual prices
Selected shop
Session
Comfort functions
These cookies are used to make the shopping experience even more appealing, for example for the recognition of the visitor.
Note
Show the facebook fanpage in the right blod sidebar
Statistics & Tracking
Affiliate program
Conversion and usertracking via Google Tag Manager
Track device being used
| Item number | Size | Datasheet | Manual | SDS | Delivery time | Quantity | Price |
|---|---|---|---|---|---|---|---|
| NSJ-V2121SAF-100UG | 100 µg | - | - |
3 - 10 business days* |
810.00€
|
If you have any questions, please use our Contact Form.
You can also order by e-mail: info@biomol.com
Larger quantity required? Request bulk
You can also order by e-mail: info@biomol.com
Larger quantity required? Request bulk
1 mg/ml in sterile PBS, BSA free, sodium azide free. Antibody A103 is specific for Melan-A... more
Product information "Anti-Melan-A, clone A103"
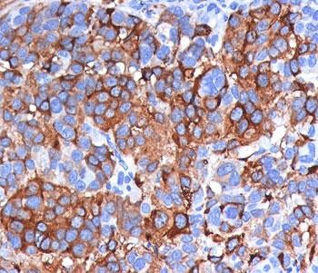
1 mg/ml in sterile PBS, BSA free, sodium azide free. Antibody A103 is specific for Melan-A (likely an abbreviation for æmelanocyte antigenÆ), also called MART-1, a unique antigen on melanoma cells recognized by CTLs (cytotoxic T lymphocytes), making it useful as a melanocyte differentiation marker. It is commonly used to identify metastatic tumors of melanocytic origin, as well as perivascular epithelioid cell tumors. Unlike another commonly used Melan-A / MART-1 antibody, M2-7C10, A103 also stains steroid hormone producing cells, making it valuable in identifying adrenocortical carcinomas. Note: this protein was identified in 1994 by two different labs, one naming it MART-1 (melanoma antigen recognized by T-cells) and the other Melan-A. Both names are commonly used in literature, but clone A103 antibody is generally referred to as being anti-Melan-A. Protein function: Involved in melanosome biogenesis by ensuring the stability of GPR143. Plays a vital role in the expression, stability, trafficking, and processing of melanocyte protein PMEL, which is critical to the formation of stage II melanosomes. [The UniProt Consortium]
| Keywords: | Anti-MLANA, Anti-MART1, Anti-MART-1, Anti-Protein Melan-A, Anti-Antigen SK29-AA, Anti-Antigen LB39-AA, Anti-Melanoma antigen recognized by T-cells 1, Melan-A Antibody |
| Supplier: | NSJ Bioreagents |
| Supplier-Nr: | V2121SAF |
Properties
| Application: | WB, FC, IHC, IF |
| Antibody Type: | Monoclonal |
| Clone: | A103 |
| Conjugate: | No |
| Host: | Mouse |
| Species reactivity: | human, mouse, rat, dog |
| Immunogen: | Recombinant human Melan-A. |
| Format: | Purified |
Database Information
| KEGG ID : | K17303 | Matching products |
| UniProt ID : | Q16655 | Matching products |
| Gene ID : | GeneID 2315 | Matching products |
Handling & Safety
| Storage: | +4°C |
| Shipping: | +4°C (International: +4°C) |
Caution
Our products are for laboratory research use only: Not for administration to humans!
Our products are for laboratory research use only: Not for administration to humans!
Information about the product reference will follow.
more
You will get a certificate here
Viewed