Anti-MAP2K5

Item number Size Datasheet Manual SDS Delivery time Quantity Price
E-AB-10512.20 20 µl -

7 - 16 business days*

89.00€
E-AB-10512.60 60 µl -

7 - 16 business days*

174.00€
E-AB-10512.120 120 µl -

7 - 16 business days*

292.00€
E-AB-10512.200 200 µl -

7 - 16 business days*

485.00€
 
The protein encoded by this gene is a dual specificity protein kinase that belongs to the MAP... more
Product information "Anti-MAP2K5"
The protein encoded by this gene is a dual specificity protein kinase that belongs to the MAP kinase kinase family. This kinase specifically interacts with and activates MAPK7/ERK5. This kinase itself can be phosphorylated and activated by MAP3K3/MEKK3, as well as by atypical protein kinase C isoforms (aPKCs). The signal cascade mediated by this kinase is involved in growth factor stimulated cell proliferation and muscle cell differentiation. Three alternatively spliced transcript variants of this gene encoding distinct isoforms have been described. Protein function: Acts as a scaffold for the formation of a ternary MAP3K2/MAP3K3-MAP3K5-MAPK7 signaling complex. Activation of this pathway appears to play a critical role in protecting cells from stress-induced apoptosis, neuronal survival and cardiac development and angiogenesis. [The UniProt Consortium]
Keywords: Anti-MEK5, Anti-MEK 5, Anti-MAP2K5, Anti-MAPKK 5, EC=2.7.12.2, Anti-MAPK/ERK kinase 5, Anti-MAP kinase kinase 5, Anti-Dual specificity mitogen-activated protein kinase kinase 5, MAP2K5 Polyclonal Antibody
Supplier: Elabscience
Supplier-Nr: E-AB-10512

Properties

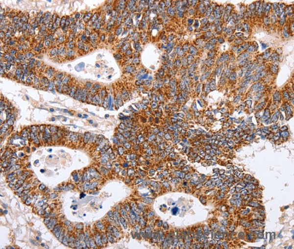
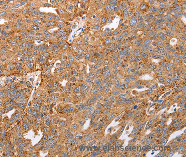
Application: IHC, ELISA
Antibody Type: Polyclonal
Conjugate: No
Host: Rabbit
Species reactivity: human, mouse, rat
Immunogen: Recombinant protein of human MAP2K5
Format: Purified

Handling & Safety

Storage: -20°C
Shipping: 4°C (International: -20°C)
Caution
Our products are for laboratory research use only: Not for administration to humans!
You will get a certificate here
or to request a certificate of analysis.
Read, write and discuss reviews... more
Customer review for "Anti-MAP2K5"
Write a review
or to review a product.
Viewed