Cookie preferences
This website uses cookies, which are necessary for the technical operation of the website and are always set. Other cookies, which increase the comfort when using this website, are used for direct advertising or to facilitate interaction with other websites and social networks, are only set with your consent.
Configuration
Technically required
These cookies are necessary for the basic functions of the shop.
"Allow all cookies" cookie
"Decline all cookies" cookie
CSRF token
Cookie preferences
Currency change
Customer-specific caching
FACT-Finder tracking
Individual prices
Selected shop
Session
Comfort functions
These cookies are used to make the shopping experience even more appealing, for example for the recognition of the visitor.
Note
Show the facebook fanpage in the right blod sidebar
Statistics & Tracking
Affiliate program
Conversion and usertracking via Google Tag Manager
Track device being used
| Item number | Size | Datasheet | Manual | SDS | Delivery time | Quantity | Price |
|---|---|---|---|---|---|---|---|
| NSJ-FY12634 | 100 µg | - | - |
3 - 10 business days* |
790.00€
|
If you have any questions, please use our Contact Form.
You can also order by e-mail: info@biomol.com
Larger quantity required? Request bulk
You can also order by e-mail: info@biomol.com
Larger quantity required? Request bulk
Adding 0.2 ml of distilled water will yield a concentration of 500 ug/ml. MAP2K1 antibody detects... more
Product information "Anti-MAP2K1 / Mitogen-activated protein kinase kinase 1"
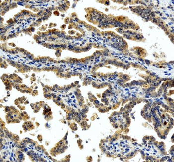
Adding 0.2 ml of distilled water will yield a concentration of 500 ug/ml. MAP2K1 antibody detects Mitogen-activated protein kinase kinase 1, a dual-specificity protein kinase that functions as a central component of the MAPK/ERK signaling pathway. MAP2K1, also known as MEK1, phosphorylates and activates ERK1 and ERK2, controlling key cellular processes including proliferation, differentiation, and survival. The MAP2K1 antibody is widely used in signal transduction, oncology, and developmental biology to study MAPK pathway activation and kinase regulation.MAP2K1 is encoded by the MAP2K1 gene located on human chromosome 15q22.31. The protein is approximately 393 amino acids in length and consists of an N-terminal regulatory region and a C-terminal kinase domain. MAP2K1 belongs to the family of dual-specificity kinases, capable of phosphorylating both threonine and tyrosine residues on its substrates. Activation occurs through phosphorylation by RAF kinases in response to growth factors, hormones, or stress stimuli.The MAP2K1 antibody detects a 45 kilodalton protein by western blot and reveals cytoplasmic and nuclear localization under immunofluorescence microscopy. In resting cells, MAP2K1 is inactive, upon stimulation of RAS-RAF signaling, it becomes phosphorylated at serine residues 218 and 222, enabling catalytic activation of ERK kinases. This cascade transmits extracellular signals to transcription factors, leading to gene expression changes that drive cell proliferation and differentiation.Aberrant MAP2K1 activation is implicated in numerous cancers, including melanoma, colorectal, and lung carcinoma, due to constitutive activation of the MAPK pathway. Mutations that enhance MAP2K1 activity or confer resistance to RAF inhibitors are clinically significant in targeted cancer therapy. Beyond oncology, MAP2K1 contributes to cardiac hypertrophy, immune signaling, and neural plasticity.Because of its central role in MAPK pathway regulation, MAP2K1 serves as a key target for understanding cell signaling and therapeutic intervention. NSJ Bioreagents provides a validated MAP2K1 antibody optimized for its applications, supporting research into ERK activation, signal integration, and targeted drug development.
| Keywords: | Anti-MAP2K1, Anti-MAPK/ERK kinase 1, Anti-ERK activator kinase 1, Anti-Dual specificity mitogen-activated protein kinase kinase 1, MAP2K1 Antibody / Mitogen-activated protein kinase kinase 1 |
| Supplier: | NSJ Bioreagents |
| Supplier-Nr: | FY12634 |
Properties
| Application: | ELISA, FC, IF, IHC, ICC, WB |
| Antibody Type: | Polyclonal |
| Conjugate: | No |
| Host: | Rabbit |
| Species reactivity: | human, mouse, rat |
| Immunogen: | E.coli-derived human MEK1/MAP2K1 recombinant protein (Position: M1-V393) |
| Format: | Purified |
Database Information
| KEGG ID : | K04368 | Matching products |
| UniProt ID : | Q02750 | Matching products |
| Gene ID : | GeneID 5604 | Matching products |
Handling & Safety
| Storage: | +4°C |
| Shipping: | +4°C (International: +4°C) |
Caution
Our products are for laboratory research use only: Not for administration to humans!
Our products are for laboratory research use only: Not for administration to humans!
Information about the product reference will follow.
more
You will get a certificate here
Viewed