Cookie preferences
This website uses cookies, which are necessary for the technical operation of the website and are always set. Other cookies, which increase the comfort when using this website, are used for direct advertising or to facilitate interaction with other websites and social networks, are only set with your consent.
Configuration
Technically required
These cookies are necessary for the basic functions of the shop.
"Allow all cookies" cookie
"Decline all cookies" cookie
CSRF token
Cookie preferences
Currency change
Customer-specific caching
FACT-Finder tracking
Individual prices
Selected shop
Session
Comfort functions
These cookies are used to make the shopping experience even more appealing, for example for the recognition of the visitor.
Note
Show the facebook fanpage in the right blod sidebar
Statistics & Tracking
Affiliate program
Conversion and usertracking via Google Tag Manager
Track device being used
| Item number | Size | Datasheet | Manual | SDS | Delivery time | Quantity | Price |
|---|---|---|---|---|---|---|---|
| NSJ-R31561 | 100 µg | - | - |
3 - 10 business days* |
790.00€
|
If you have any questions, please use our Contact Form.
You can also order by e-mail: info@biomol.com
Larger quantity required? Request bulk
You can also order by e-mail: info@biomol.com
Larger quantity required? Request bulk
0.5mg/ml if reconstituted with 0.2ml sterile DI water. Macrophage-1 alpha (MAC-1) or CD11b are... more
Product information "Anti-MAC-1"
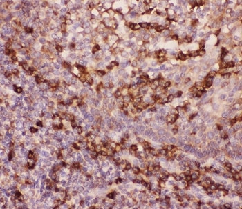
0.5mg/ml if reconstituted with 0.2ml sterile DI water. Macrophage-1 alpha (MAC-1) or CD11b are glycoproteins encoded by the ITGAM gene. It is mapped to 16p11.2. MAC-1 has a role in vascular repair after mechanical arterial injury. It is implicated in various adhesive interactions of monocytes, macrophages and granulocytes as well as in mediating the uptake of complement-coated particles. Additionally, it likely recognizes the R-G-D peptide in C3b, and it is also a receptor for fibrinogen, factor X and ICAM1. Protein function: Integrin alpha-M/beta-2 is implicated in various adhesive interactions of monocytes, macrophages and granulocytes as well as in mediating the uptake of complement-coated particles. It is identical with CR-3, the receptor for the iC3b fragment of the third complement component. It probably recognizes the R-G-D peptide in C3b. Integrin alpha-M/beta-2 is also a receptor for fibrinogen, factor X and ICAM1. It recognizes P1 and P2 peptides of fibrinogen gamma chain. [The UniProt Consortium]
| Keywords: | Anti-CD11B, Anti-CD11b, Anti-ITGAM, Anti-Integrin alpha-M, Anti-CR-3 alpha chain, Anti-Neutrophil adherence receptor, Anti-Leukocyte adhesion receptor MO1, Anti-CD11 antigen-like family member B, Anti-Cell surface glycoprotein MAC-1 subunit alpha, MAC-1 A |
| Supplier: | NSJ Bioreagents |
| Supplier-Nr: | R31561 |
Properties
| Application: | WB, IHC (paraffin) |
| Antibody Type: | Polyclonal |
| Conjugate: | No |
| Host: | Rabbit |
| Species reactivity: | human, mouse, rat |
| Immunogen: | Human partial recombinant protein (AA 17-382) |
| Format: | Purified |
Database Information
| KEGG ID : | K06461 | Matching products |
| UniProt ID : | P11215 | Matching products |
| Gene ID : | GeneID 3684 | Matching products |
Handling & Safety
| Storage: | +4°C |
| Shipping: | +4°C (International: +4°C) |
Caution
Our products are for laboratory research use only: Not for administration to humans!
Our products are for laboratory research use only: Not for administration to humans!
Information about the product reference will follow.
more
You will get a certificate here
Viewed