Cookie preferences
This website uses cookies, which are necessary for the technical operation of the website and are always set. Other cookies, which increase the comfort when using this website, are used for direct advertising or to facilitate interaction with other websites and social networks, are only set with your consent.
Configuration
Technically required
These cookies are necessary for the basic functions of the shop.
"Allow all cookies" cookie
"Decline all cookies" cookie
CSRF token
Cookie preferences
Currency change
Customer-specific caching
FACT-Finder tracking
Individual prices
Selected shop
Session
Comfort functions
These cookies are used to make the shopping experience even more appealing, for example for the recognition of the visitor.
Note
Show the facebook fanpage in the right blod sidebar
Statistics & Tracking
Affiliate program
Conversion and usertracking via Google Tag Manager
Track device being used
| Item number | Size | Datasheet | Manual | SDS | Delivery time | Quantity | Price |
|---|---|---|---|---|---|---|---|
| NSJ-FY12064 | 100 µg | - | - |
3 - 10 business days* |
790.00€
|
If you have any questions, please use our Contact Form.
You can also order by e-mail: info@biomol.com
Larger quantity required? Request bulk
You can also order by e-mail: info@biomol.com
Larger quantity required? Request bulk
Adding 0.2 ml of distilled water will yield a concentration of 500 ug/ml. Lysozyme antibody... more
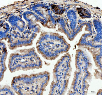
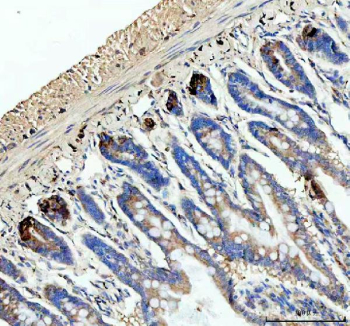
Product information "Anti-Lysozyme / Lyz1 / Lyz2"
Adding 0.2 ml of distilled water will yield a concentration of 500 ug/ml. Lysozyme antibody detects Lysozyme, encoded by the LYZ gene in human and by two closely related genes, Lyz1 and Lyz2, in mouse. Lysozyme is a secreted enzyme that cleaves bacterial peptidoglycan, serving as a critical effector of innate immunity. Lysozyme antibody provides researchers with a widely used reagent for studying antimicrobial defense, innate immune responses, and myeloid cell biology.Lysozyme is one of the most abundant proteins in neutrophils, macrophages, and secretions such as saliva, tears, and mucus. Research using Lysozyme antibody has shown that it hydrolyzes the beta-1,4-glycosidic bonds in bacterial cell walls, leading to lysis of Gram-positive bacteria and contributing to host defense. This antimicrobial activity makes Lysozyme a frontline defense factor in mucosal immunity.Studies with Lysozyme antibody have revealed that beyond antimicrobial activity, Lysozyme contributes to modulation of inflammation. It regulates cytokine release, scavenges bacterial products, and influences macrophage polarization. This dual antimicrobial and immunomodulatory role underscores its importance in both acute infection and chronic inflammation.Dysregulation of Lysozyme has been linked to disease. Research using Lysozyme antibody has shown that mutations in the human LYZ gene can cause hereditary systemic amyloidosis, characterized by Lysozyme amyloid deposits in the kidney, liver, and gastrointestinal tract. Elevated Lysozyme expression has been observed in leukemia and inflammatory disorders, where it can serve as a biomarker of disease activity. Mouse models using Lyz1 and Lyz2 further highlight the importance of Lysozyme in host-pathogen interactions.Lysozyme antibody is commonly used in immunohistochemistry, immunofluorescence, and western blotting. Immunohistochemistry highlights myeloid cell populations in tissue sections, immunofluorescence demonstrates localization in macrophages and neutrophils, and western blotting quantifies expression across tissues and disease models. These applications make Lysozyme antibody indispensable in immunology and infection research.By providing validated Lysozyme antibody reagents, NSJ Bioreagents supports studies into host defense, innate immunity, and disease. Detection of Lysozyme provides researchers with insight into how antimicrobial enzymes shape immunity and pathology.
| Keywords: | Anti-Lyz1, Anti-Lysozyme C-1, Anti-Lysozyme C type P, Anti-1,4-beta-N-acetylmuramidase C, Lysozyme Antibody / Lyz1 / Lyz2 |
| Supplier: | NSJ Bioreagents |
| Supplier-Nr: | FY12064 |
Properties
| Application: | WB, IHC, ELISA |
| Antibody Type: | Polyclonal |
| Conjugate: | No |
| Host: | Rabbit |
| Species reactivity: | mouse, rat |
| Immunogen: | E.coli-derived mouse Lyz1/2 recombinant protein (Position: K19-V148) |
| Format: | Purified |
Database Information
| KEGG ID : | K13915 | Matching products |
| UniProt ID : | P17897 | Matching products |
| Gene ID : | GeneID 17110 | Matching products |
Handling & Safety
| Storage: | +4°C |
| Shipping: | +4°C (International: +4°C) |
Caution
Our products are for laboratory research use only: Not for administration to humans!
Our products are for laboratory research use only: Not for administration to humans!
Information about the product reference will follow.
more
You will get a certificate here
Viewed