This website uses cookies, which are necessary for the technical operation of the website and are always set. Other cookies, which increase the comfort when using this website, are used for direct advertising or to facilitate interaction with other websites and social networks, are only set with your consent.
Configuration
Technically required
These cookies are necessary for the basic functions of the shop.
"Allow all cookies" cookie
"Decline all cookies" cookie
CSRF token
Cookie preferences
Currency change
Customer-specific caching
FACT-Finder tracking
Individual prices
Selected shop
Session
Comfort functions
These cookies are used to make the shopping experience even more appealing, for example for the recognition of the visitor.
Note
Show the facebook fanpage in the right blod sidebar
Statistics & Tracking
Affiliate program
Conversion and usertracking via Google Tag Manager
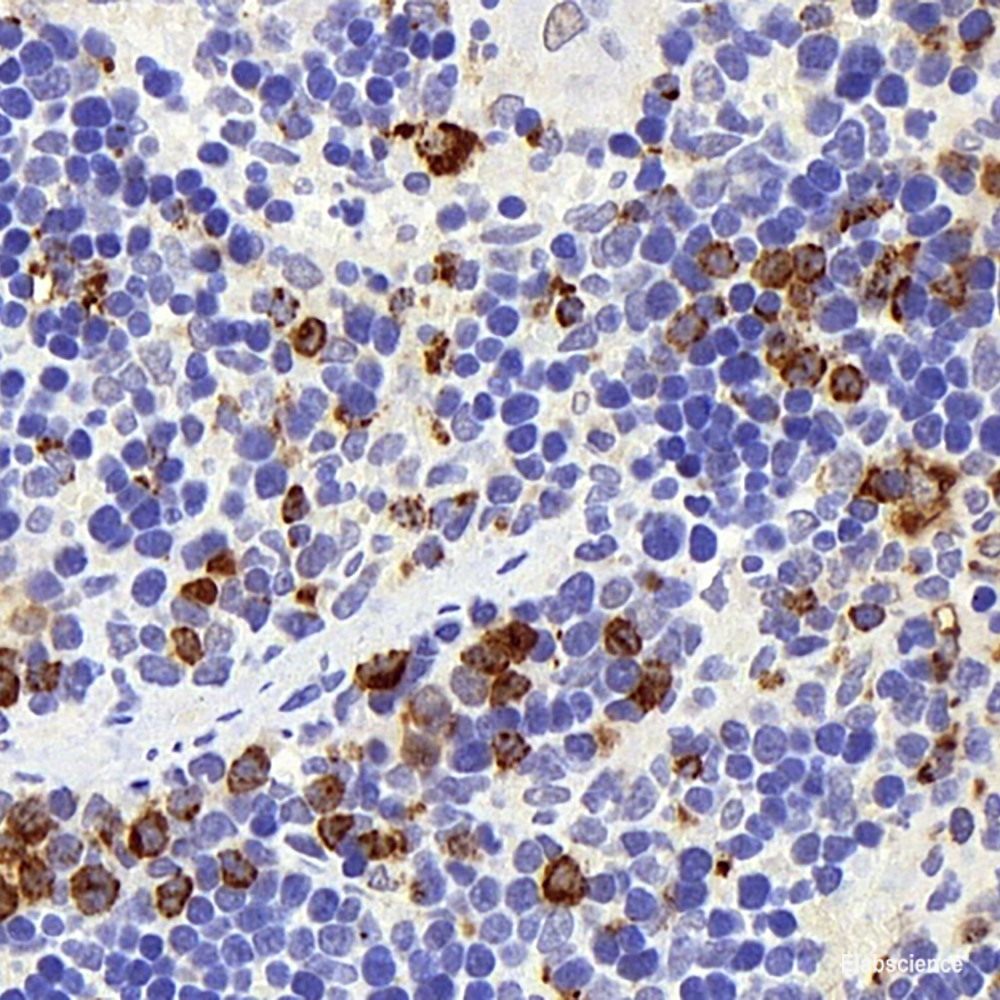
LYZ(Lysozyme C) is also named as LZM and belongs to the glycosyl hydrolase 22 family. It catalyzes the hydrolysis of the bacterial cell wall beta(1-4) glycosidic linkages between N-acetylmuramic acid and N-acetylglucosamine. In tissues and body fluids this protein is associated with the monocyte-macrophage system and enhance the activity of immunoagents. LYZ is capable of both hydrolysis and transglycosylation, it shows also a slight esterase activity. Defects in LYZ are a cause of amyloidosis type 8 (AMYL8). The full length protein has a signal peptide with 18 amino acid. Protein function: Lysozymes have primarily a bacteriolytic function, those in tissues and body fluids are associated with the monocyte- macrophage system and enhance the activity of immunoagents. Lyz2 is active against a range of Gram-positive and Gram-negative bacteria. More effective than Lyz1 in killing Gram-negative bacteria. Lyz1 and Lyz2 are equally effective in killing Gram- positive bacteria. [The UniProt Consortium]
Keywords:
Anti-Lyz, Anti-Lyz2, EC=3.2.1.17, Anti-Lysozyme C-2, Anti-Lysozyme C type M, Anti-1,4-beta-N-acetylmuramidase C, Lysozyme Polyclonal Antibody
This website uses cookies, which are necessary for the technical operation of the website and are always set. Other cookies, which increase the usability of this website, serve for direct advertising or simplify interaction with other websites and social networks, will only be used with your consent.
More information