Cookie preferences
This website uses cookies, which are necessary for the technical operation of the website and are always set. Other cookies, which increase the comfort when using this website, are used for direct advertising or to facilitate interaction with other websites and social networks, are only set with your consent.
Configuration
Technically required
These cookies are necessary for the basic functions of the shop.
"Allow all cookies" cookie
"Decline all cookies" cookie
CSRF token
Cookie preferences
Currency change
Customer-specific caching
FACT-Finder tracking
Individual prices
Selected shop
Session
Comfort functions
These cookies are used to make the shopping experience even more appealing, for example for the recognition of the visitor.
Note
Show the facebook fanpage in the right blod sidebar
Statistics & Tracking
Affiliate program
Conversion and usertracking via Google Tag Manager
Track device being used
| Item number | Size | Datasheet | Manual | SDS | Delivery time | Quantity | Price |
|---|---|---|---|---|---|---|---|
| NSJ-FY13375 | 100 µl | - | - |
3 - 10 business days* |
790.00€
|
If you have any questions, please use our Contact Form.
You can also order by e-mail: info@biomol.com
Larger quantity required? Request bulk
You can also order by e-mail: info@biomol.com
Larger quantity required? Request bulk
Rabbit IgG in phosphate buffered saline, pH 7.4, 150mM NaCl, 0.02% sodium azide and 50% glycerol,... more
Product information "Anti-LYN / Tyrosine-protein kinase Lyn, clone 32L39"
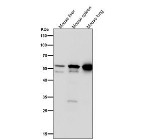
Rabbit IgG in phosphate buffered saline, pH 7.4, 150mM NaCl, 0.02% sodium azide and 50% glycerol, 0.4-0.5mg/ml BSA. LYN antibody detects Tyrosine-protein kinase Lyn, encoded by the LYN gene. Tyrosine-protein kinase Lyn is a member of the Src family of non-receptor tyrosine kinases and is widely expressed in hematopoietic cells, where it plays essential roles in immune receptor signaling, proliferation, differentiation, and apoptosis. LYN antibody provides researchers with a specific reagent for studying signaling networks that govern immune cell activation and cancer biology.Tyrosine-protein kinase Lyn functions downstream of antigen and cytokine receptors, phosphorylating immunoreceptor tyrosine-based activation and inhibition motifs. Research using LYN antibody has shown that it can both activate and inhibit signaling depending on context, making it a key modulator of immune responses. Lyn phosphorylates substrates such as SYK, PI3K, and SHP phosphatases, coordinating positive and negative feedback loops. This dual regulatory role highlights its importance in immune tolerance and activation balance.Studies with LYN antibody have revealed its role in B cell receptor signaling. Tyrosine-protein kinase Lyn initiates signaling by phosphorylating immunoreceptor tyrosine-based activation motifs, recruiting downstream effectors that drive calcium flux, gene transcription, and survival. At the same time, it phosphorylates inhibitory motifs that recruit phosphatases to limit signaling intensity. This balance prevents inappropriate activation while allowing robust responses to pathogens.Dysregulation of Lyn contributes to disease. Research using LYN antibody has demonstrated that overactive Lyn signaling is implicated in chronic myeloid leukemia and B cell malignancies, where it enhances survival and proliferation. Conversely, deficiency or loss of Lyn function contributes to autoimmune disorders by impairing inhibitory signaling. These findings establish Lyn as a therapeutic target in both cancer and autoimmunity.Lyn also participates in platelet activation, mast cell degranulation, and macrophage responses, emphasizing its broad roles in hematopoietic physiology. Beyond immune function, Lyn contributes to epithelial and neuronal signaling, expanding its relevance to non-hematopoietic systems. These functions highlight the versatility of Tyrosine-protein kinase Lyn as a signaling hub.LYN antibody is widely used in western blotting, immunohistochemistry, and immunoprecipitation. Western blotting detects total protein levels and phosphorylation states, immunohistochemistry reveals expression in lymphoid organs, and immunoprecipitation enables mapping of protein complexes. These applications make LYN antibody essential for signaling research.By supplying validated LYN antibody reagents, NSJ Bioreagents supports studies into immune regulation, oncology, and signal transduction. Detection of Tyrosine-protein kinase Lyn provides researchers with insights into how Src family kinases integrate activating and inhibitory signals.
| Keywords: | Anti-LYN, Anti-p56Lyn, Anti-p53Lyn, Anti-Tyrosine-protein kinase Lyn, Anti-Lck/Yes-related novel protein tyrosine kinase, Anti-V-yes-1 Yamaguchi sarcoma viral related oncogene homolog, LYN Antibody / Tyrosine-protein kinase Lyn |
| Supplier: | NSJ Bioreagents |
| Supplier-Nr: | FY13375 |
Properties
| Application: | WB |
| Antibody Type: | Monoclonal |
| Clone: | 32L39 |
| Conjugate: | No |
| Host: | Rabbit |
| Species reactivity: | human, mouse, rat |
| Immunogen: | A synthesized peptide derived from human Lyn protein |
| Format: | Affinity Purified |
Database Information
| KEGG ID : | K05854 | Matching products |
| UniProt ID : | P07948 | Matching products |
| Gene ID : | GeneID 4067 | Matching products |
Handling & Safety
| Storage: | -20°C |
| Shipping: | -20°C (International: -20°C) |
Caution
Our products are for laboratory research use only: Not for administration to humans!
Our products are for laboratory research use only: Not for administration to humans!
Information about the product reference will follow.
more
You will get a certificate here
Viewed