Cookie preferences
This website uses cookies, which are necessary for the technical operation of the website and are always set. Other cookies, which increase the comfort when using this website, are used for direct advertising or to facilitate interaction with other websites and social networks, are only set with your consent.
Configuration
Technically required
These cookies are necessary for the basic functions of the shop.
"Allow all cookies" cookie
"Decline all cookies" cookie
CSRF token
Cookie preferences
Currency change
Customer-specific caching
FACT-Finder tracking
Individual prices
Selected shop
Session
Comfort functions
These cookies are used to make the shopping experience even more appealing, for example for the recognition of the visitor.
Note
Show the facebook fanpage in the right blod sidebar
Statistics & Tracking
Affiliate program
Conversion and usertracking via Google Tag Manager
Track device being used
| Item number | Size | Datasheet | Manual | SDS | Delivery time | Quantity | Price |
|---|---|---|---|---|---|---|---|
| NSJ-FY12992 | 100 µg | - | - |
3 - 10 business days* |
790.00€
|
If you have any questions, please use our Contact Form.
You can also order by e-mail: info@biomol.com
Larger quantity required? Request bulk
You can also order by e-mail: info@biomol.com
Larger quantity required? Request bulk
Adding 0.2 ml of distilled water will yield a concentration of 500 ug/ml. LAT antibody detects... more
Product information "Anti-Lat / Linker for activation of T cells"
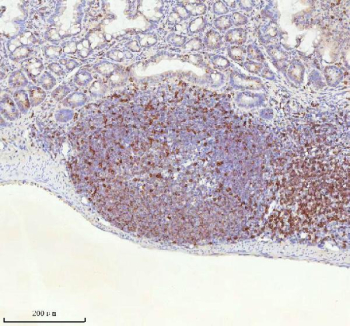
Adding 0.2 ml of distilled water will yield a concentration of 500 ug/ml. LAT antibody detects Linker for activation of T cells, a critical transmembrane adaptor protein that functions as a central scaffold in T-cell receptor (TCR) signaling. The UniProt recommended name is Linker for activation of T cells (LAT). This protein coordinates the assembly of multiprotein complexes that mediate T-cell activation, proliferation, and immune response regulation. LAT is indispensable for coupling TCR engagement to downstream signaling cascades that drive cytokine production and effector cell differentiation.Functionally, LAT antibody identifies a 233-amino-acid membrane protein that localizes to lipid rafts of the plasma membrane. Upon TCR stimulation, the Src-family kinase Lck and the ZAP-70 tyrosine kinase phosphorylate multiple tyrosine residues on LAT, creating docking sites for SH2-domain-containing proteins such as Grb2, PLC-gamma1, and Gads. These interactions recruit downstream effectors that activate calcium flux, MAPK signaling, and transcriptional pathways including NFAT, NF-kappaB, and AP-1. Through these mechanisms, LAT orchestrates the signal amplification necessary for full T-cell activation.The LAT gene is located on chromosome 16p11.2 and encodes a single-pass type III transmembrane protein with a short extracellular domain and a cytoplasmic tail rich in tyrosine residues. The LAT scaffold acts as an organizational hub, integrating signals from the TCR, co-stimulatory receptors, and cytokine receptors. LAT phosphorylation dynamics are tightly regulated to prevent aberrant T-cell activation and autoimmunity. In developing thymocytes, LAT signaling contributes to both positive and negative selection, shaping the mature T-cell repertoire.Defects in LAT expression or phosphorylation impair T-cell development and lead to severe combined immunodeficiency-like phenotypes. Conversely, gain-of-function mutations or dysregulated LAT signaling can cause hyperactivation syndromes, lymphoproliferative disorders, or autoimmunity. LAT also functions in mast cells, natural killer cells, and platelets, where it mediates Fc receptor-dependent signaling and degranulation responses.LAT antibody is widely used in immunology, signal transduction, and cell biology research. It is suitable for western blotting, flow cytometry, and immunofluorescence to examine TCR-induced phosphorylation and signal complex formation. Researchers employ this antibody to dissect T-cell activation pathways and study immune regulation at the molecular level. LAT serves as a key marker of functional TCR signaling in both primary immune cells and model systems.Structurally, LAT contains a cytoplasmic region with multiple phosphorylation sites that function as SH2-binding motifs for signaling partners. It forms large signalosomes through multivalent interactions that promote phase-separated clusters at the membrane. NSJ Bioreagents provides LAT antibody reagents validated for use in T-cell activation, immune signaling, and phosphorylation research.
| Keywords: | Anti-Lat, Anti-p36-38, Anti-36 kDa phosphotyrosine adapter protein, Anti-Linker for activation of T-cells family member 1, Lat Antibody / Linker for activation of T cells |
| Supplier: | NSJ Bioreagents |
| Supplier-Nr: | FY12992 |
Properties
| Application: | WB, IHC, FC, ELISA |
| Antibody Type: | Polyclonal |
| Conjugate: | No |
| Host: | Rabbit |
| Species reactivity: | mouse, rat |
| Immunogen: | E.coli-derived mouse Lat recombinant protein (Position: R29-E217) |
| Format: | Purified |
Database Information
| KEGG ID : | K07362 | Matching products |
| UniProt ID : | O54957 | Matching products |
| Gene ID : | GeneID 16797 | Matching products |
Handling & Safety
| Storage: | +4°C |
| Shipping: | +4°C (International: +4°C) |
Caution
Our products are for laboratory research use only: Not for administration to humans!
Our products are for laboratory research use only: Not for administration to humans!
Information about the product reference will follow.
more
You will get a certificate here
Viewed